2015-09-12 2015, Volume 2 Issue 3
  • Cover illustration

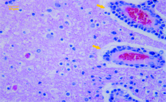
    A PRV subunit vaccine based on gB protein can elicit specific antibody-mediated responses and protect pigs from virulent PRV HN1201 infection. This novel subunit vaccine can be applied as an effective vaccine candidate to control PRV variant in China. This picture shows non-suppurative meningoencephalitis induced by PRV infection (arrows) in pig brain. Hematoxylin and eosin staining; bar, 10 μm. (Yuzhou WANG, Tongyan WANG, He YAN, Fanli YANG, Linghua GUO, Qingyuan YANG, Xule HU, Feifei TAN, Yan XIAO, Xiangdong LI, Kegong TIAN, pp. e.cn/fase/EN/10.15302/J-FASE-2015072">216-222) [Detail] ...

    Download PDFs

  • Select all
  • REVIEW
    Qifang PAN , Jingya ZHAO , Yuliang WANG , Kexuan TANG

    Metabolomics has been rapidly developed as an important field in plant sciences and natural products chemistry. As the only natural source for a diversity of monoterpenoid indole alkaloids (MIAs), especially the low-abundance antitumor agents vinblastine and vincristine, Catharanthus roseus is highly valued and has been studied extensively as a model for medicinal plants improvement. Due to multistep enzymatic biosynthesis and complex regulation, genetic modification in the MIA pathway has resulted in complicated changes of both secondary and primary metabolism in C. roseus, affecting not only the MIA pathway but also other pathways. Research at the metabolic level is necessary to increase knowledge on the genetic regulation of the whole metabolic network connected to MIA biosynthesis. Nuclear magnetic resonance (NMR) is a very suitable and powerful complementary technique for the identification and quantification of metabolites in the plant matrix. NMR-based metabolomics has been used in studies of C. roseus for pathway elucidation, understanding stress responses, classification among different cultivars, safety and quality controls of transgenic plants, cross talk between pathways, and diversion of carbon fluxes, with the aim of fully unravelling MIA biosynthesis, its regulation and the function of the alkaloids in the plant from a systems biology point of view.

  • REVIEW
    Zeying GUI , Chenglong ZHANG , Mo Li , Ping GUO

    The main characteristic of the water resources system (WRS) is its great complexity and uncertainty, which makes it highly desirable to carry out a risk analysis of the WRS. The natural environmental, social economic conditions as well as limitations of human cognitive ability are possible sources of the uncertainties that need to be taken into account in the risk analysis process. In this paper the inherent stochastic uncertainty and cognitive subjective uncertainty of the WRS are discussed first, from both objective and subjective perspectives. Then the quantitative characterization methods of risk analysis are introduced, including three criteria (reliability, resiliency and vulnerability) and five basic optimization models (the expected risk value model, conditional value at risk model, chance-constrained risk model, minimizing probability of risk events model, and the multi-objective optimization model). Finally, this paper focuses on the various methods of risk analysis under uncertainty, which are summarized as random, fuzzy and mixed methods. A more comprehensive risk analysis methodology for the WRS is proposed based on the comparison of the advantages, disadvantages and applicable conditions of these three methods. This paper provides a decision support of risk analysis for researchers, policy makers and stakeholders of the WRS.

  • RESEARCH ARTICLE
    Yuzhou WANG , Tongyan WANG , He YAN , Fanli YANG , Linghua GUO , Qingyuan YANG , Xule HU , Feifei TAN , Yan XIAO , Xiangdong LI , Kegong TIAN

    Pseudorabies (PR) is a devastating viral disease which leads to fatal encephalitis and respiratory disorders in pigs. Commercial gE-deleted live pseudorabies virus (PRV) vaccine has been widely used to control this disease in China. However, the new-emerging variants of PRV compromises the protection provided by current vaccines and lead to the outbreak of PR in vaccinated pig herds. Several killed and live vaccine candidates based on current PRV variants have been reported to be effective to control the disease. A subunit vaccine based on gB protein, one major PRV glycoprotein which elicits strong humoral and cellular immune responses, however, was never evaluated for protection against the current circulating PRV variants. In this study, full-length PRV gB protein was successfully expressed in baculovirus/insect cells in the soluble format and was tested on 3-week-old piglets as a subunit vaccine. Compared with unvaccinated pigs, the gB-vaccinated pigs developed specific antibody-mediated responses and were protected from the virulent PRV HN1201 challenge. All vaccinated pigs survived without showing any PRV-specific respiratory and neurological signs, but all unvaccinated pigs died within 7 days after HN1201 challenge. Hence, this novel gB-based vaccine could be applied as an effective subunit vaccine to control PRV variant in China.

  • RESEARCH ARTICLE
    Rongmin ZHANG , Yang WANG , Zhihai LIU , Jiyun LI , Wenjuan YIN , Lei LEI , Congming WU , Jianzhong SHEN

    In recent years, the mobile metallo-β-lactamase (MBL) genes have been found to correspond to one of the most important resistance characters identified in Gram-negative bacteria, severely affecting clinical chemotherapy and threatening public health. The prevalence of mobile MBL genes and their flanking regions in Gram-negative bacteria from diseased pigs in China was investigated. A total of 334 lung samples from diseased pigs were screened for Gram-negative bacteria classified as non-susceptible to meropenem (MIC≥4 mg·L−1). Six isolates, including three Escherichia coli, two Acinetobacter baumanii and one A. calcoaeticus, exhibited MBL production and carried the blaNDM-1 gene. S1-PFGE and Southern blot analysis showed that the blaNDM-1 gene was located on the chromosome of one A. baumanii isolate and on plasmids of various sizes in the other five isolates. MIC testing using broth microdilution revealed that all blaNDM-1-carrying isolates and some of their transconjugants exhibited resistance to almost all β-lactams tested. Whole genome sequencing revealed that the flanking region of the blaNDM-1 gene from all porcine isolates had high levels of similarity with the corresponding regions in human isolates. One porcine E. coli isolate carrying blaNDM-1 was typed as ST48, a common sequence type in human E. coli isolates. These results suggest the possibility of human-to-food animal transfer of blaNDM-1-producing E. coli, highlighting the need for surveillance of carbapenemase producers among bacteria from food animals. In addition, the prudent use of antimicrobial agents to decrease the opportunities for co-selection of carbapenemase genes in food animals is also urgently needed.

  • RESEARCH ARTICLE
    Ruining WANG , Yubao ZHI , Junqing GUO , Qingmei LI , Li WANG , Jifei YANG , Qianyue JIN , Yinbiao WANG , Yanyan YANG , Guangxu XING , Songlin QIAO , Mengmeng ZHAO , Ruiguang DENG , Gaiping ZHANG

    Large-scale production of cell culture-based classical swine fever virus (CSFV) vaccine is hampered by the adverse reactions caused by contaminants from host cell and culture medium. Hence, we have developed an efficient method for purifying CSFV from cell-culture medium. Pure viral particles were obtained with two steps of tangential-flow filtration (TFF) and size-exclusion chromatography (SEC), and were compared with particles from ultracentrifugation by transmission electron microscopy (TEM), infectivity and recovery test, and real time fluorescent quantitative PCR (FQ-PCR). TFF concentrated the virus particles effectively with a retention rate of 98.5%, and 86.2% of viral particles were obtained from the ultrafiltration retentate through a Sepharose 4 F F column on a biological liquid chromatography system. CSFV purified by TFF-SEC or ultracentrifugation were both biologically active from 1.0×10−4.25 TCID50·mL−1 to 3.0×10−6.25 TCID50·mL−1, but the combination of TFF and SEC produced more pure virus particles than by ultracentrifugation alone. In addition, pure CSFV particles with the expected diameter of 40–60 nm were roughly spherical without any visible contamination. Mice immunized with CSFV purified by TFF-SEC produced higher antibody levels compared with immunization with ultracentrifugation-purified CSFV (P<0.05). The purification procedures in this study are reliable technically and feasible for purification of large volumes of viruses.

  • RESEARCH ARTICLE
    Ye HOU , Lu JING , Yunxia ZHAO , Sheng WANG , An LIU , Shuhong ZHAO , Xinyun LI

    Meat quality is one of the most important economic traits in pig breeding. It has been reported that the composition of type II muscle fibers is correlated with meat quality in pigs. Type II muscle fibers contain three isoforms, IIa, IIb and IIx, which contain specific myofibrillar proteins MYH2, MYH4 and MYH1, respectively. In this study, the expression levels of MYH1, MYH2, and MYH4 genes in the Longissimus thoracis (LT) muscle were measured in 114 Yorkshire pigs. Further, the correlations between the expression level of MYH genes and the meat quality traits of intramuscular fat, drip loss, water-holding capacity and postmortem pH values were analyzed. The results showed that the expression level of MYH2 was positively correlated with the intramuscular fat (R= 0.20, P<0.05). The expression levels of MHY1 and MYH4 were negatively correlated with the pH at 24 h post mortem (pH24h ; R= -0.28, P<0.01; R= -0.25, P<0.01, respectively). Besides, the 60K SNP chip was used for genotyping the individuals. Genome wide association analysis indicated that 15 SNPs were significantly associated with the expression levels of these three MYH genes. The results indicated the expression levels of MYH1, MYH2 and MYH4 genes could be useful markers for improvement of meat quality in pigs.

  • RESEARCH ARTICLE
    Mengxu GE , Fei LIU , Fei CHANG , Zhaolin SUN , Jing FEI , Ying GUO , Yunping DAI , Zhengquan YU , Yaofeng ZHAO , Ning LI , Qingyong MENG

    Lactoferrin is a member of the transferrin family of multifunctional iron binding glycoproteins. While numerous physiological functions have been described for lactoferrin, the mechanisms underlying these functions are not clear. To further study the functions and mechanisms of lactoferrin, we modified the lactoferrin promoter of mice using the CRISPR/Cas9 system to reduce or eliminate lactoferrin expression. Seven mice with lactoferrin promoter mutations were obtained with an efficiency of 24% (7/29) by injecting the plasmid pX330, expressing a small guide RNA and human codon-optimized SpCas9, into fertilized eggs of mice. Plasmid integration and off-targeting of pX330 were not detected. These results confirmed that pronuclear injection of a circular plasmid is a feasible and efficient method for targeted mutagenesis in mice.

  • RESEARCH ARTICLE
    Zuoxiang LIANG , Tao WANG , Yi SUN , Wenlong YANG , Zhihong LIU , Jing FEI , Ying GUO , Qingwei MA , Qingjie PAN , Liming REN

    Heavy chain only antibodies (HCAbs) represent a rare type of antibody that is devoid of light chains and the CH1 domain that have been reported in cartilaginous fish and camelids. By analyzing transcript data and genome sequences, we conducted a comprehensive analysis of Bactrian camel immunoglobulin heavy chain genes. Based on the transcript data, one μ gene, five γ genes, one α gene and one ε gene were found. Additionally, the variable region of HCAbs (VHH) and the conventional antibodies (VH) sequences associated with the γ3, γ1a/b and μ genes were amplified. Based on these genome sequences, seven DH, six JH, μ, γ2a, γ2c, α, and ε genes and a portion of a γ3 gene were observed. Different Kozak sequences within different VH families were found in our analysis, and the variability index differed between the VHH3 and VH3 families. Phylogenetic analysis of the constant regions of the camelid immunoglobulin genes indicates that these genes appeared before the evolutionary divergence of Bactrian camels and dromedaries.

  • RESEARCH ARTICLE
    Jing WANG , Chen CHENG , Yanru ZHOU , Yong YANG , Qiong MEI , Junmin LI , Ye CHENG , Chengqi YAN , Jianping CHEN

    Y73 is a progeny of asymmetric somatic hybridization between Oryza sativa cv. Dalixiang and the wild rice species Oryza meyeriana. Inoculation with a range of strains of Xanthomonas oryzae pv. oryzae showed that Y73 had inherited a high level of resistance to rice bacterial blight (BB) from its wild parent. An F2 population of 7125 individuals was constructed from the cross between Y73 and a BB-susceptible cultivar IR24. After testing 615 SSR and STS markers covering the 12 rice chromosomes, 186 markers were selected that showed polymorphism between Y73 and IR24. Molecular markers linked to the BB resistance genes in Y73 were scanned using the F2 population and the polymorphic markers. The SSR marker RM128 on chromosome 1, the STS marker R03D159 on chromosome 3 and the STS marker R05D104 on chromosome 5 were found to be linked to the rice BB resistance genes in Y73.

  • RESEARCH ARTICLE
    Ruixia SHEN , Chunyan TIAN , Zhidan LIU , Yuanhui ZHANG , Baoming LI , Haifeng LU , Na DUAN

    Algal blooms have become a worldwide environmental concern due to water eutrophication. Dianchi Lake in Yunnan Province, China is suffering from severe eutrophication and is listed in the Three Important Lakes Restoration Act of China. Hydrothermal liquefaction allows a promising and direct conversion of algal biomass into biocrude oil. In this study, algal samples were collected from Dianchi Lake after a separation procedure including dissolved air flotation with polyaluminum chloride and centrifugation during four months, April, June, August and October. The algal biochemical components varied over the period; lipids from 0.7% to 2.1% ash-free dry weight (afdw), protein from 20.9% to 33.4% afdw and ash from 36.6% to 45.2% dry weight. The algae in June had the highest lipid and protein concentrations, leading to a maximum biocrude oil yield of 24.3% afdw. Biodiversity analysis using pyrosequencing revealed different distributions of microbial communities, specifically Microcystis in April (89.0%), June (63.7%) and August (84.0%), and Synechococcus in April (2.2%), June (12.0%) and August (1.0%). This study demonstrated remarkable temporal changes in the biochemical composition and biodiversity of algae harvested from Dianchi Lake and changes in biocrude oil production potential.