2013-12-05 2013, Volume 7 Issue 4
  • Select all
  • MINI-REVIEW
    Guangqing Wang, Zhaofan Xia

    Monocytes are critical effectors and regulators of immune response. Studying the nomenclature of monocyte subsets may be beneficial for understanding the complex function of monocytes in steady and inflammatory states. A monocyte has the potential to differentiate into dendritic cells or macrophages, and this behavior significantly changes in severely burned patients and mice. The findings in the present study may help enhance understanding on the perturbation of the immune system after severe burn injury.

  • REVIEW
    Li Shang, Mingrong Wang

    Esophageal squamous cell carcinoma (ESCC) is one of the most common types of gastrointestinal cancers, and the fourth leading cause of cancer-related deaths in China. Early detection and intervention in time may dramatically increase the survival of the patients by initiating treatment regimens during earlier stages of ESCC or even during precancerous stages. Molecular classification will be useful for subtyping esophageal tumors or precancerous lesions to improve current therapeutics or early intervention of the disease. In this review, we summarize the findings in investigating the molecular alterations and clinical relevance of ESCC.

  • REVIEW
    Yiming Lu, Waiian Leong, Olivier Guérin, Eric Gilson, Jing Ye

    The increased level of chromosome instability in cancer cells, leading to aneuploidy and gross chromosomal rearrangements, is not only a driving force for oncogenesis but also can be the Achille’s heel of the disease since many chemotherapies (CT) kill cells by inducing a non-tolerable rate of DNA damage. A wealth of published evidence showed that telomere stability can be more affected than the bulk of the genome by several conventional antineoplasic drugs. These results raise the interesting possibility that CT with genotoxic drugs preferentially target telomeres. In agreement with this view, accelerated shortening of telomere length has been described in blood lineage cells following high-dose CT (stem cell transplantation) or non-myeloablative CT. However, almost nothing is known on the consequences of this shortening in terms of telomere stability, senescence and on the development of second cancers or post-treatment aging-like syndromes in cancer survivors (cognitive defect, fertility impairment, etc.). In this article, we propose: (1) telomeres of cancer cells are preferential genomic targets of chemotherapies altering chromosome maintenance; (2) telomere functional parameters can be a surrogate marker of chemotherapy sensitivity and toxicity; (3) the use of anti-telomere molecule could greatly enhance the sensitivity to standards chemotherapies.

  • REVIEW
    Xinguang Liu, Yu Hou, Jun Peng

    Primary immune thrombocytopenia (ITP) is an autoimmune disorder characterized by immune-mediated accelerated platelet destruction and/or suppressed platelet production. Although the development of autoantibodies against platelet glycoproteins remains central in the pathophysiology of ITP, several abnormalities involving the cellular mechanisms of immune modulation have been identified, and the pathways behind the immune-mediated destruction of platelets have opened new avenues for the design of specific immunotherapies in an attempt to reduce the platelet destruction. This review is primarily focused on the recent literature with respect to immunopathological mechanisms in patients with ITP.

  • REVIEW
    Xu Chen, Xiaomao Xu, Fei Xiao

    Chronic obstructive pulmonary disease (COPD) is one of the leading causes of morbidity and mortality throughout the world and is mainly characterized by persistent airflow limitation. Given that multiple systems other than the lung can be impaired in COPD patients, the traditional FEV1/FVC ratio shows many limitations in COPD diagnosis and assessment. Certain heterogeneities are found in terms of clinical manifestations, physiology, imaging findings, and inflammatory reactions in COPD patients; thus, phenotyping can provide effective information for the prognosis and treatment. However, phenotypes are often based on symptoms or pathophysiological impairments in late-stage COPD, and the role of phenotypes in COPD prevention and early diagnosis remains unclear. This shortcoming may be overcome by the potential genotypes defined by the heterogeneities in certain genes. This review briefly describes the heterogeneity of COPD, with focus on recent advances in the correlations between genotypes and phenotypes. The potential roles of these genotypes and phenotypes in the molecular mechanisms and management of COPD are also elucidated.

  • REVIEW
    Jichun Yang, Jihong Kang, Youfei Guan

    Obesity is defined as excessive accumulation of body fat in proportion to body size. When obesity occurs, the functions of adipose tissue may be deregulated, which is termed as adiposopathy. Adiposopathy is an independent risk factor for many diseases, including diabetes and cardiovascular diseases. In overweight or obese subjects with adiposopathy, hyperlipidemia exerts lipotoxicity in pancreatic islet and liver and induces pancreatic β cell dysfunction and liver insulin resistance, which are the decisive factors causing type 2 diabetes. Moreover, adipokines have been shown to play important roles in the regulation of glucose homeostasis. When adiposopathy occurs, abnormal changes in the serum adipokine profile correlate with the development and progression of pancreatic β cell dysfunction and insulin resistance in peripheral tissue. The current paper briefly discusses the latest findings regarding the effects of adiposopathy-related lipotoxicity and cytokine toxicity on the development of type 2 diabetes.

  • REVIEW
    Limin Mao, Minglei Guo, Daozhong Jin, Bing Xue, John Q. Wang

    Neuroadaptations of glutamatergic transmission in the limbic reward circuitry are linked to persistent drug addiction. Accumulating data have demonstrated roles of ionotropic glutamate receptors and group I and II metabotropic glutamate receptors (mGluRs) in this event. Emerging evidence also identifies Gαi/o-coupled group III mGluRs (mGluR4/7/8 subtypes enriched in the limbic system) as direct substrates of drugs of abuse and active regulators of drug action. Auto- and heteroreceptors of mGluR4/7/8 reside predominantly on nerve terminals of glutamatergic corticostriatal and GABAergic striatopallidal pathways, respectively. These presynaptic receptors regulate basal and/or phasic release of respective transmitters to maintain basal ganglia homeostasis. In response to operant administration of common addictive drugs, such as psychostimulants (cocaine and amphetamine), alcohol and opiates, limbic group III mGluRs undergo drastic adaptations to contribute to the enduring remodeling of excitatory synapses and to usually suppress drug seeking behavior. As a result, a loss-of-function mutation (knockout) of individual group III receptor subtypes often promotes drug seeking. This review summarizes the data from recent studies on three group III receptor subtypes (mGluR4/7/8) expressed in the basal ganglia and analyzes their roles in the regulation of dopamine and glutamate signaling in the striatum and their participation in the addictive properties of three major classes of drugs (psychostimulants, alcohol, and opiates).

  • RESEARCH ARTICLE
    Jessica Fredericks, Ruibao Ren

    BCR/ABL is the causative agent of chronic myelogenous leukemia (CML). Through structure/function analysis, several protein motifs have been determined to be important for the development of leukemogenesis. Tyrosine177 of BCR is a Grb2 binding site required for BCR/ABL-induced CML in mice. In the current study, we use a mouse bone marrow transduction/transplantation system to demonstrate that addition of oncogenic NRAS (NRASG12D) to a vector containing a BCR/ABLY177F mutant “rescues” the CML phenotype rapidly and efficiently. To further narrow down the pathways downstream of RAS that are responsible for this rescue effect, we utilize well-characterized RAS effector loop mutants and determine that the RAL pathway is important for rapid induction of CML. Inhibition of this pathway by a dominant negative RAL is capable of delaying disease progression. Results from the present study support the notion of RAL inhibition as a potential therapy for BCR/ABL-induced CML.

  • RESEARCH ARTICLE
    Douglas D. Fang, Joan Cao, Jitesh P. Jani, Konstantinos Tsaparikos, Alessandra Blasina, Jill Kornmann, Maruja E. Lira, Jianying Wang, Zuzana Jirout, Justin Bingham, Zhou Zhu, Yin Gu, Gerrit Los, Zdenek Hostomsky, Todd VanArsdale

    Evaluating the effects of novel drugs on appropriate tumor models has become crucial for developing more effective therapies that target highly tumorigenic and drug-resistant cancer stem cell (CSC) populations. In this study, we demonstrate that a subset of cancer cells with CSC properties may be enriched into tumor spheroids under stem cell conditions from a non-small cell lung cancer cell line. Treating these CSC-like cells with gemcitabine alone and a combination of gemcitabine and the novel CHK1 inhibitor PF-00477736 revealed that PF-00477736 enhances the anti-proliferative effect of gemcitabine against both the parental and the CSC-like cell populations. However, the CSC-like cells exhibited resistance to gemcitabine-induced apoptosis. Collectively, the spheroid-forming CSC-like cells may serve as a model system for understanding the mechanism underlying the drug resistance of CSCs and for guiding the development of better therapies that can inhibit tumor growth and eradicate CSCs.

  • RESEARCH ARTICLE
    Zhe Zheng, Lu Zhang, Xi Li, Shengshou Hu, on behalf of the Chinese CABG Registry Study

    This study aims to construct a logistically derived additive score for predicting in-hospital mortality risk in Chinese patients undergoing coronary artery bypass surgery (CABG). Data from 9839 consecutive CABG patients in 43 Chinese centers were collected between 2007 and 2008 from the Chinese Coronary Artery Bypass Grafting Registry. This database was randomly divided into developmental and validation subsets (9:1). The data in the developmental dataset were used to develop the model using logistic regression. Calibration and discrimination characteristics were assessed using the validation dataset. Thresholds were defined for each model to distinguish different risk groups. After excluding 275 patients with incomplete information, the overall mortality rate of the remaining 9564 patients was 2.5%. The SinoSCORE model was constructed based on 11 variables: age, preoperative NYHA stage III or IV, chronic renal failure, extracardiac arteriopathy, chronic obstructive pulmonary disease, preoperative atrial fibrillation or flutter (within 2βweeks), left ventricular ejection fraction, other elective surgery, combined valve procedures, preoperative critical state, and BMI. In the developmental dataset, calibration using a Hosmer-Lemeshow (HL) test was at P =β0.44 and discrimination based on the area under the receiver operating characteristic curve (ROC) was 0.80. In the validation dataset, the HL test was at P =β0.34 and the area under the ROC (AUC) was 0.78. A logistically derived additive model for predicting in-hospital mortality among Chinese patients undergoing CABG was developed based on the most up-to-date multi-center data from China.

  • RESEARCH ARTICLE
    Jian Jiao, Na Meng, Hong Wang, Luo Zhang

    The purpose of this study was to compare cell growth characteristics, ciliated cell differentiation, and function of human nasal epithelial cells established as explant outgrowth cultures or dissociated tissue cultures. Human nasal mucosa of the uncinate process was obtained by endoscopy and epithelial cell cultures were established by explant outgrowth or dissociated tissue culture methods. Epithelial cell growth characteristics were observed by inverted phase contrast microscopy. Ciliated cell differentiation was detected by β-tubulin IV and ZO-1 immunocytochemistry. Basal and ATP-stimulated ciliary beat frequency (CBF) was measured using a high-speed digital microscopic imaging system. Both the explant and dissociated tissue cultures established as monolayers with tight junctions and differentiated cell composition, with both types of cultures comprising ciliated and non-ciliated epithelial cells. Fibroblasts were also frequently found in explant cultures but rarely seen in dissociated tissue cultures. In both culture systems, the highest ciliated cell density appeared at 7th–10th culture day and declined with time, with the lifespan of ciliated cells ranging from 14 to 21 days. Overall, 10% of the cells in explant cultures and 20% of the cells in the dissociated tissue cultures were ciliated. These two cultures demonstrated similar ciliary beat frequency values at baseline (7.78±1.99 Hz and 7.91±2.52 Hz, respectively) and reacted equivalently following stimulation with 100 μM ATP. The results of this study indicate that both the explant outgrowth and dissociated tissue culture techniques are suitable for growing well-differentiated nasal ciliated and non-ciliated cells, which have growth characteristics and ciliary activity similar to those of nasal epithelial cells in vivo.

  • RESEARCH ARTICLE
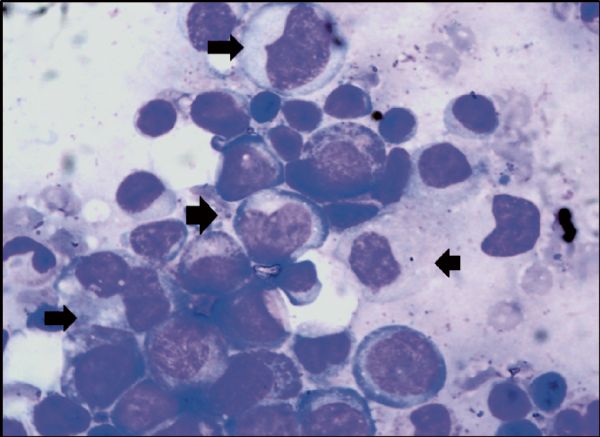
    Somanath Padhi, Renu G’ Boy Varghese, Anita Ramdas, Manjiri Dilip Phansalkar, RajLaxmi Sarangi

    Hemophagocytic lymphohistiocytosis (HLH) is an uncommon, potentially life threatening, hyper inflammatory syndrome of diverse etiologies. Cardinal signs include prolonged fever, organomegaly, and persistent unexplained cytopenias. In spite of the well known diagnostic criteria put forth by HLH society, this continues to pose great diagnostic challenge in both pediatric and adult intensive care settings. We describe 4 adult (2 males, 2 females, aged 19, 29, 40, and 17 years) and 3 pediatric (2 males, 1female, aged 1 month, 6 months, and 12 years) patients with secondary HLH who satisfied the HLH-2004 diagnostic criteria. Definite evidence of hemophagocytosis was noted in 4 patients on initial bone marrow examination. The underlying etiologies were as follows: Rickettsia tsutsugamushi (case 1), autoimmune disorder (case 2), systemic onset juvenile idiopathic arthritis (sJIA) (case 3), unknown bite (possibly a venomous snake) (case 4), Plasmodium vivax (case 5), Cytomegalo virus (case 6), and Mycobacterium tuberculosis (case 7). In one patient, hemophagocytosis was presumed to have been exacerbated by administration of granulocyte monocyte colony stimulating factor (GM-CSF) for severe neutropenia. Two patients died with disseminated intravascular coagulation (DIC) and multi organ failure within few days of HLH diagnosis. Immunosuppressive therapy was started in 3 patients, and etoposide was started in one patient only. Due to lack of specificity of diagnostic criteria, diagnosing and differentiating HLH from its closest mimickers like sepsis/septic shock may be quite challenging in critically ill patients. Therefore, increasing awareness among physicians is essential for early diagnosis and effective therapy to reduce the mortality.

  • RESEARCH ARTICLE
    Xiang Du

    This study aimed to investigate patient dose in diagnostic screen-film radiographic examinations in the city of Lhasa, China. Seven out of the twenty-six hospitals registered with the Lhasa Health Bureau were included in the investigation. The entrance surface air Kerma (ESAK) of seven conventional screen-film radiology X-ray equipment in these hospitals was measured with a QA dosimeter in September 2012. The X-ray examinations were divided into three categories: PA (posterior-anterior) chest, upper/lower limb, and AP (anterior-posterior) lumbar spine. For each category, ESAKs were calculated and analyzed. The mean ESAK was 0.6 mGy for PA chest, 0.3 mGy for upper/lower limb, and 1.8 mGy for AP lumbar spine. In addition, the mean ESAK value recorded for PA chest X-ray examinations exceeded the corresponding value recommended by the International Atomic Energy Agency (0.4 mGy).

  • RESEARCH ARTICLE
    Yi Xu, Jingtao Li, Bing Shi

    Cleft lip and palate (CLP) is the most common craniofacial congenital deformity. The etiology of CLP is multifactorial and involves complex interactions between environmental and genetic factors. Millard’s rotation-advancement technique has long been considered as state-of-the-art for unilateral cleft lip repair. However, this method may leave the christa philtri on the cleft side insufficiently downward rotated, especially in wide complete clefts. In this study, we introduce a modified technique to better rotate the christa philtri on the cleft side down. The skin, muscle, and mucosa in the deformed region were dissected and separately maneuvered. Sixty patients with unilateral complete cleft lip and palate were operated with this technique. The lip height, lip length, and relative height of the christa philtri were measured for symmetry evaluation. No significant difference was observed between the relative height of the christa philtri on both sides, either immediate (P = 0.214) or 10 months after surgery (P = 0.344). The difference observed in the lip height and lip length immediately after surgery became statistically insignificant after 10 months (P = 0.104 for lip height and 0.121 for lip length). These results suggested that sufficient and stable downward rotation of the christa philtri on the cleft side can be achieved using our technique.

  • CASE REPORT
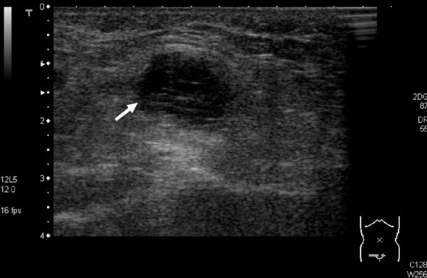
    John Bunni, Mark Gillam, Ian Michael Pope

    Herein the authors describe the case of a young woman presenting with a tender lump in her groin. Clinically the differential was of either a reactive lymph node or a femoral hernia. Ultrasound scan was urgently arranged and showed a cystic lesion. Surgical exploration was carried out and revealed this to be a hydrocele of the canal of Nuck. This was excised and the patient’s symptoms resolved and she was discharged home the following day. We explore the embryology, pathophysiology and management of this rare entity.

  • COMMENTARY
    Eric C.H. Lai