2013-09-05 2013, Volume 7 Issue 3
  • Select all
  • EDITORIAL
    Ying Wu, George F. Gao
  • MINI-REVIEW
    Ping Liu, Songlin Liu, Gang Chen, Ping Wang

    Channel tropism is investigated and developed through long-term clinical practice. In recent years, the development of channel tropism theory has attracted increasing attention. This study analyzed channel tropism theory and the problems associated with it. Results showed that this theory and systems biology have a similar holistic viewpoint. Systems biology could provide novel insights and platform in the study of channel tropism. Some problems in channel tropism theory, including pharmacology and action mechanism, were investigated.

  • REVIEW
    Lu Wang

    Many gene fusions have been recognized as important diagnostic and/or prognostic markers in human malignancies. In recent years, novel gene fusions have been identified in cases without prior knowledge of the genetic background. Accompanied by a powerful computational data analysis method, new genome-wide screening approaches were used to detect cryptic genomic aberrations. This review focused on advanced genome-wide screening approaches in fusion gene identification, such as microarray-based approaches, next-generation sequencing, and NanoString nCounter gene expression system. The fundamental rationale and strategy for fusion gene identification using each biotech platform are also discussed.

  • REVIEW
    Miao Xu, Yu Hou, Lei Sheng, Jun Peng

    The extensive autoimmune, anti-inflammatory, and anticancer applications of thalidomide have inspired a growing number of studies and clinical trials. As an inexpensive agent with relatively low toxicity, thalidomide is regarded as a promising therapeutic candidate, especially for malignant diseases. We review its therapeutic effects in hematology, including those on multiple myeloma, Waldenstroem macroglobulinemia, lymphoma, mantle-cell lymphoma, myelodysplastic syndrome, hereditary hemorrhagic telangiectasia, and graft-versus-host disease. Most studies have shown satisfactory results, although several have reported the opposite. Aside from optimal outcomes, the toxicities and adverse effects of thalidomide should also be examined. The current work includes a discussion of the mechanisms through which the novel biological effects of thalidomide occur, although more studies should be devoted to this aspect. With appropriate safeguards, thalidomide may benefit patients suffering from a broad variety of disorders, particularly refractory and resistant diseases.

  • REVIEW
    Tingting Wang, Shanglong Yao, Zhengyuan Xia, Michael G. Irwin

    Systemic inflammatory response following myocardial ischemia-reperfusion injury (IRI) to a specific organ may cause injuries. Ischemic post-conditioning (IPostC) has emerged as a promising method for myocardial protection against IRI both in experimental and in clinical settings. Enhancement of endogenous nitric oxide (NO) is one of the major mechanisms by which IPostC confers cardioprotection. However, the sensitivity of the diabetic heart to IPostC is impaired and the underlying mechanism is unknown. Adiponectin (APN) is an adipocyte-derived plasma protein with anti-diabetic and anti-inflammatory properties. Plasma levels of APN are decreased in obese subjects and in patients with type 2 diabetes. APN supplementation has been shown to increase NO production and attenuate myocardial IRI in normal (non-diabetic) animals. However, the effect of APN on myocardial injury in diabetic subjects, especially its potential in restoring the sensitivity of the diabetic heart to IPostC has not been investigated. In the current paper, we discussed the possible reasons why the myocardium of diabetic subjects loses sensitivity to IPostC and also highlighted the potential effectiveness and mechanism of APN in restoring IPostC cardioprotection in diabetes. This review proposes to conduct studies that may facilitate the development of novel and optimal therapies to enhance cardioprotection in patients with severe diseases such as diabetes.

  • REVIEW
    Xiaodong Mo, Xiaojun Huang

    Allogeneic hematopoietic stem cell transplantation (HSCT) is one of the most effective options for hematological malignancies, and human leukocyte antigen-partially matched related donors (PMRDs) are a valuable option for HSCT. Several protocols (with or without ex vivo T-cell depletion (TCD)) have been established worldwide. TCD including CD34+ positive selection and CD3/CD19 depletion has successfully overcome the human leukocyte antigen disparity. However, TCD is associated with prolonged immune deficiencies, increased risks of infectious complications, and high transplantation-related mortality. PMRD HSCT without ex vivo TCD is well developed, and numerous patients have benefitted from it. Here, we review the literature on PMRD HSCT.

  • REVIEW
    Jay H. Ryu, Xinlun Tian, Misbah Baqir, Kaifeng Xu

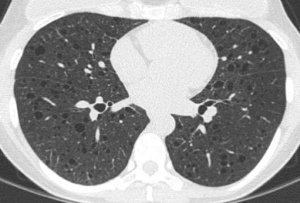
    Diffuse cystic lung diseases are uncommon but can present a diagnostic challenge because increasing number of diseases have been associated with this presentation. Cyst in the lung is defined as a round parenchymal lucency with a well-defined thin wall (<2 mm thickness). Focal or multifocal cystic lesions include blebs, bullae, pneumatoceles, congenital cystic lesions, traumatic lesions, and several infectious processes such as coccidioidomycosis, Pneumocystis jiroveci pneumonia, and hydatid disease. “Diffuse” distribution in the lung implies involvement of all lobes. Diffuse lung involvement with cystic lesions can be seen in pulmonary lymphangioleiomyomatosis, pulmonary Langerhans’ cell histiocytosis, lymphoid interstitial pneumonia, Birt-Hogg-Dubé syndrome, amyloidosis, light chain deposition disease, honeycomb lung associated with advanced fibrosis, and several other rare causes including metastatic disease. High-resolution computed tomography of the chest helps define morphologic features of the lung lesions as well as their distribution and associated features such as intrathoracic lymphadenopathy. Correlating the tempo of the disease process and clinical context with chest imaging findings serve as important clues to defining the underlying nature of the cystic lung disease and guide diagnostic evaluation as well as management.

  • REVIEW
    Shu Zhang, Yinwei Li, Xianqun Fan

    Minimally invasive surgical techniques, particularly endoscopic techniques, have revolutionized otolaryngeal surgery. Endoscopic techniques have been gradually applied in orbital surgery through the sinus inferomedial to the orbit and the orbital subperiosteal space. Endoscopic techniques help surgeons observe fractures and soft tissue of the posterior orbit to precisely place implants and protect vital structures through accurate, safe, and minimally invasive approaches. We reviewed the development of endoscopic techniques, the composition of endoscopic systems for orbital surgery, and the problems and developmental prospects of endoscopic techniques for simple orbital wall fracture repair.

  • RESEARCH ARTICLE
    Siming Yang, Kui Ma, Changjiang Feng, Yan Wu, Yao Wang, Sha Huang, Xiaobing Fu

    Human umbilical cord-derived mesenchymal stem cells (hUC-MSCs) possess various advantageous properties, including self-renewal, extended proliferation potential, multi-lineage differentiation potential and capacity for differentiating into sweat gland-like cells in certain conditions. However, little is known about the effect of clinical-grade culture conditions on these properties and on the differentiative potential of hUC-MSCs. In this study, we sought to investigate the properties of hUC-MSCs expanded with animal serum free culture media (ASFCM) in order to determine their potential for differentiation into sweat gland-like cells. We found that primary cultures of hUC-MSCs could be established with ASFCM. Moreover, cells cultured in ASFCM showed vigorous proliferation comparable to those of cells grown in classical culture conditions containing fetal bovine serum (FBS). Morphology of hUC-MSCs cultured in ASFCM was comparable to those of cells grown under classical culture conditions, and hUC-MSCs grown in both of the two culture conditions tested showed the typical antigen profile of MSCs—positive for CD29, CD44, CD90, and CD105, and negative for CD34 and CD45, as expected. Chromosomal aberration assay revealed that the cells were stable after long-term culture under both culture conditions. Like normal cultured MSCs, hUC-MSCs induced under ASFCM conditions exhibited expression of the same markers (CEA, CK14 and CK19) and developmental genes (EDA and EDAR) that are characteristic of normal sweat gland cells. Taken together, our findings indicate that the classical culture medium used to differentiate hUC-MSCs into sweat gland-like cells can be replaced safely by ASFCM for clinical purposes.

  • RESEARCH ARTICLE
    Xiangwei Li, Yu Yang, Jianmin Liu, Feng Zhou, Wei Cui, Ling Guan, Fei Shen, Cong Gao, Mufei Li, Qi Jin, Lei Gao

    Due to the implementation of directly observed treatment strategy (DOTS), China has made a significant achievement in tackling the tuberculosis (TB) epidemic in the 1990s. However, only half of regions in China met or exceeded the 85% rate of treatment success target. The aim of the present study is to summarize the treatment outcomes of smear-positive pulmonary TB in the mainland of China in the past decade using meta-analysis based on systematic review of published observational studies. A total of 50 eligible articles (58 studies) were identified and included in this study. The summarized treatment success rates were 93.9% (95% CI, 92.8%–94.7%) for new cases and 85.4% (95% CI, 83.0%–87.6%) for previously treated cases, and the summarized cured rate were 92.2% (95% CI, 90.9%–93.3%) and 81.2% (95% CI, 79.1%–83.1%), respectively. A remarkable increase of rates for treatment success and cure was observed in the 1990s. After 2000, the summarized treatment outcomes were tending towards stability. In addition, geographic areas, type of the data and administrative level of the hospital were also found to influence the estimates of the treatment outcomes. Results of the present study clearly show, in general, that the pulmonary TB treatment achieved significant success in the past decade in the mainland of China. However, it needs to be further strengthened in the central and west areas.

  • RESEARCH ARTICLE
    Lichun Zhong

    This study aimed to modify a chronic ocular hypertension (OHT) rat model to screen for potential compounds to protect retinal ganglion cells (RGCs) from responding to increased intraocular pressure (IOP). A total of 266 rats were prepared and randomly grouped according to different time-points, namely, weeks 3, 8, 16, and 24. Rats were sedated and eye examination was performed to score as the corneal damage on a scale of 1 to 4. The OHT rat model was created via the injection of a hypertonic saline solution into the episcleral veins once weekly for two weeks. OHT was identified when the IOP at week 0 was≥6 mmHg than that at week -2 for the same eye. Viable RGCs were labeled by injecting 4% FluoroGold. Rats were sacrificed, and the eyes were enucleated and fixed. The fixed retinas were dissected to prepare flat whole-mounts. The viable RGCs were visualized and imaged. The IOP (meanβ±βSD) was calculated, and data were analyzed by the paired t-test and one-way ANOVA. The OHT model was created in 234 of 266 rats (87.97%), whereas 32 rats (12.03%) were removed from the study because of the absence of IOP elevation (11.28%) and/or corneal damage scores over 4 (0.75%). IOP was elevated by as much as 81.35% for 24 weeks. The average IOP was (16.68β±β0.98)βmmHg in non-OHT eyes (n = 234), but was (27.95±0.97)βmmHg in OHT eyes (n = 234). Viable RGCs in the OHT eyes were significantly decreased in a time-dependent manner by 29.41%, 38.24%, 55.32%, and 59.30% at weeks 3, 8, 16, and 24, respectively, as compared to viable RGCs in the non-OHT eyes (P<β0.05). The OHT model was successfully created in 88% of the rats. The IOP in the OHT eyes was elevated by approximately 81% for 24 weeks. The number of viable RGCs was decreased by 59% of the rats in a time-dependent manner. The modified OHT model may provide an effective and reliable method for screening drugs to protect RGCs from glaucoma.

  • RESEARCH ARTICLE
    Jingyao Zhang, Dapeng Wu, Hong Ai, Jigang Bai, Shunbin Dong, Qinling Yang, Kai Qu, Lei Zhou, Xinsen Xu, Chang Liu

    von Hippel-Lindau (VHL) disease is a rare, inherited neoplastic disease characterized by hemangioblastomas (HBL) of the central nervous system (CNS), retinal angiomas, renal cell carcinomas (RCC), pancreatic endocrine tumors (PETs), pheochromocytomas, paragangliomas, and visceral cysts. We encountered a large VHL family in northwest China and conducted a systematic screening of the family members based on their epidemiological and clinical characteristics. A self-designed questionnaire was used to collect the general sociodemographic and health information of the family members. For the preliminary family screening, physical examination and abdomen B ultrasonography were performed. The suspected patients were subjected to cranial computerized tomography and fundus examination. The clinical data of the patients with confirmed VHL disease were collected from hospital records. A total of 63 lineal descendants in six generations were observed in the family (generations O, A, B, C, D, E), including 9 dead suspected cases (6 males, 3 females) and 10 living cases (2 males, 8 females). Among the 10 living cases, 4, 2, 1, 3, 4, 8, and 2 manifested HBLs of the CNS, PETs, RCC, pancreatic cysts, renal cysts, pheochromocytomas (4 hemi and 4 bilateral), and paragangliomas, respectively. Data showed that the morbidity of VHL disease in generation C was lower than that in generation B, but the age of onset was younger. This study is the first to report VHL disease in northwest China and VHL-associated PET cases in Chinese. Therefore, follow-up checkups of the family should be focused on younger generations. Proper family screening protocols should be followed for the treatment of patients with VHL disease.

  • CASE REPORT
    Salomone Di Saverio, Kenji Kawamukai, Andrea Biscardi, Silvia Villani, Luca Zucchini, Gregorio Tugnoli

    A 56-year-old man presented spontaneously to the Emergency Department complaining of facial and neck oedema after assumption of nonsteroidal anti-inflammatory drugs (NSAIDS). The triage nurse assigned the patient to Accident & Emergency (A&E) doctor as probable allergic reaction to NSAIDS. Chest X-ray (CXR), ordered after 24 hours, revealed a huge subcutaneous chest and neck emphysema without clearly visible pneumothorax. Subsequent chest CT scan showed a small left pneumothorax and a large amount of air in the mediastinum. The patient was conservatively treated since he was eupnoeic and hemodynamically stable. The pathophysiology of pneumomediastinum was first described by Macklin in 1939. The Macklin effect involves alveolar ruptures with air dissection along bronchovascular sheaths to the mediastinum. In this case the patient did not report in his history a recent blunt thoracic trauma and the initial suspicion of an allergic reaction has prevented physicians to immediately achieve the correct diagnosis.

  • ERRATUM
    Lulu Ma, Wei Liu, Yuguang Huang