2009-06-05 2009, Volume 3 Issue 2
  • Select all
  • RESEARCH ARTICLE
    Hongying ZHANG, Jianwu TANG, Wenting ZHU, Chunxiu HU, Guowang XU

    In order to provide a sensitive cell line model for investigating the mechanisms underlying the lymphatic metastasis of tumors and the effect of medicine against cells, a new murine ascites hepatocarcinoma cell line with high lymphatic metastatic potential (Hca-P/L6) was established and the effect of curcumin on biological behavior of Hca-P/L6 was observed. Murine ascites hepatocarcinoma cell strain with low lymphatic metastatic potential (Hca-P) was subcutaneously inoculated into the medioventral line of a mouse 615 and the first generation of metastatic tumor cells of inguinal lymph node (Hca-P/L1) was obtained. Then, Hca-P/L1 was screened by the route of mouse foot pad subcutaneously → lymph node → scale-up culture in vitro → mouse foot pad subcutaneously for five times consecutively. The sensitivity of two murine ascites hepatocarcinoma cell lines (Hca-P and Hca-P/L6) and two anchorage-dependent human hepatocarcinoma cell lines (SMC7721 and HepG2) to curcumin were studied by use of 3-(4,5-dimethylthiazol-2-yl)-2,5-diphenyltetrazolium bromide (MTT) assay after these cells had been pretreated by curcumin at the concentration of 15-240 μmol/L for 48 h. After pretreatment by curcumin at the maximum non-cytotoxic dose of 15 μmol/L in vitro, the effect of curcumin against cell proliferation of Hca-P and Hca-P/L6 was observed by inverted microscope, cell growth curve and cell population doubling time; the effects of curcumin on cell cycles of Hca-P/L6 and Hca-P were studied by flow cytometry (FCM). The results showed Hca-P/L6 spreading to the lymph nodes at multiple sites in mice was screened from Hca-P. The lymph node metastatic rate was 100%. Curcumin had significant growth inhibiting effect on both murine ascites and human hepatocarcinoma cell lines in a dose-dependent manner (P<0. 05). At concentrations of 30-120 μmol/L, curcumin had more inhibition on murine ascites hepatocarcinoma cell lines than on human anchorage-dependent hepatocarcinoma cell lines. At concentrations of 60-240 μmol/L, curcumin had more inhibition on Hca-P/L6 with (the 50% inhibitory concentration) IC50 of 51.48 μmol/L than on Hca-P with IC50 of 90.87 μmol/L. After pretreatment by curcumin at the maximum non-cytotoxic dose of 15 mol/L for 7 days, the proliferations of Hca-P/L6 and Hca-P were inhibited (P<0.05) in a time-dependent manner (P<0.01) and the population doubling time of Hca-P/L6 and Hca-P was prolonged (P<0.01), and curcumin had more inhibition on Hca-P/L6 than on Hca-P (P<0.05). After pretreatment by 15 μmol/L curcumin for 48 h, the morphous of Hca-P/L6 was influenced more seriously than that of Hca-P and the cell cycle was redistributed with Hca-P/L6 being blocked in the S phase and Hca-P in the S and G2/M phases. Hca-P/L6 was validated to be more sensitive to curcumin than Hca-P. Hca-P/L6 is a novel sensitive cell line model for investigating the mechanisms underlying tumor lymphatic metastasis and the effect of the medicine against cells.

  • RESEARCH ARTICLE
    Cuihong ZHENG, Yunxia WU, Guangying HUANG, Wei WANG

    Our previous studies showed that there were close relationships between connexin 43 (Cx43) and acupoints and meridians. In order to further investigate the effect of Cx43 in acupuncture treatment, RNA interference technique was used to construct small hairpin RNA (shRNA) expression vectors targeting Cx43 and identify the efficiency of RNA interference in NIH/3T3 cell lines for further use in vivo. Aiming directly at the two targets of Cx43 mRNA sequence of the rat and mouse homology region, we synthesized two pairs of complementary oligonucleotide strands in vitro. Double strands were formed after annealing, and then inserted into Pgenesil-1 plasmid expression vector. After identification by enzyme cutting and sequencing, the recombinant plasmids named P-Cx43-shRNA (1), P-Cx43-shRNA (2) and P-con-shRNA were transfected into the NIH/3T3 cells. Immunofluorescence and Western blot assays were used to detect the protein level of Cx43 after being screened by G418.The results of enzyme cutting and sequencing showed that we successfully constructed two shRNA expression vectors targeting Cx43, and a control expression vector for rat and mouse. Also, the Cx43 protein level was decreased by 73.5% (P< 0.01) and 10.8%, accordingly. The Cx43 protein level was not influenced by the transfection of P-con-shRNA. The outcomes demonstrate that the plasmid P-Cx43-shRNA (1) can specifically silence better the expression of Cx43 in NIH/3T3 cells, which offers an experimental evidence for further in vivo investigation.

  • RESEARCH ARTICLE
    Zhizhen LI, Fangping LI, Jianhong YE, Li YAN, Zuzhi FU

    The objective of this study was to investigate the effects of resistin on insulin signaling in human umbilical vein endothelial cells (HUVECs). HUVECs were incubated with recombinant human resistin (0-100 ng/mL) for 24 h. Akt and endothelial nitric oxide synthase (eNOS) phosphorylation levels of endothelial cells under basal or insulin stimulated conditions were measured by Western blot. Nitric oxide (NO) production of HUVECs was also detected. The results showed that resistin could significantly inhibit Akt and eNOS phosphorylation and NO production in endothelial cells under insulin stimulated conditions (P< 0.05 vs control). But under basal conditions, treatment with resistin could result in a decrease in eNOS phosphorylation (P< 0.05 vs control) but had no effect on NO production and Akt phosphorylation levels. These findings suggested that resistin exerted an inhibitory effect on NO production by inhibiting insulin signaling and eNOS phosphorylation in endothelial cells.

  • RESEARCH ARTICLE
    Youguo HAO, Min ZHANG, Jinzhi XU, Bitao BU, Jiajun WEI

    Rab proteins and their effectors facilitate vesicular transport by tethering donor vesicles to their respective target membranes. Rab9 mediates late endosome-to-trans-Golgi-network trafficking. To explore the possibility of Rab9-related gene therapy for neurodegenerative diseases, we packed Lentivirus encoding Rab9. The expressing plasmid pCDH1-MCF1-Rab9-EF1-copGFP was constructed by using molecular biological techniques. The Lentivirus encoding Rab9 cDNA was packed by Lifectamine-2000 mediated co-transfection of the plasmid pPACKH1-GAG, pPACKH1-REV and pVSV-G into 293T cells. DNA sequencing proved the successful construction of pCDH1-MCF1-Rab9-EF1-copGFP. After 72 hours, the expression of GFP could be detected in BV-2 cells. Western blotting revealed that the Rab9 gene expression in BALB/c mice brain was up-regulated significantly 4 weeks after injection with Lentivirus encoding Rab9, which evidenced a satisfactory increasing effect of this virus. Administration of Lenti-Rab9 to postnatal day 3 Niemann-Pick disease type C (NPC) mice reduced motor defects and prevented the weight loss associated with female NPC mice, as well as modulating the death rate of Purkinje neurons. It is concluded that the packaging of Lentivirus encoding Rab9 was successful. Lentivirus encoding Rab9 can increase the expression of Rab9 gene effectively, which might offer a novel means for the treatment of neurodegenerative diseases.

  • RESEARCH ARTICLE
    Qiong CHEN, Qing YU, Yuhu SONG, Peiyuan Li, Ying CHANG, Zhijun WANG, Lifeng LIU, Wei WU, Jusheng LIN

    To investigate the regulation of tumor suppressor XAF1 gene expression in digestive system cancers, we studied XAF1 gene promoter transcription activity and mRNA level in digestive system cancer cell lines (human hepatoma cell line HepG2, human colon cancer cell line LoVo, and human gastric cancer cell line AGS) and nontumor cell lines (human embryonic liver cell line L02 (L02 cells) and human embryonic kidney 293 cells [HEK293 cells]) as controls. 1395-bp-promoter fragment of XAF1 gene was amplified by polymerase chain reaction (PCR) and cloned into pGL3-basic vector and pEGFP-1 vector to assay its promoter transcription activity. The plasmids were transfected into a variety of cell lines by lipofectamine 2000. The promoter transcription activity was determined by dual-luciferase report assay, and enhanced green fluorescent protein (EGFP)-positive cells were detected by fluorescence microscope. The expression of XAF1 mRNA in HEK293 and L02 were significantly higher than that in any of the three digestive system cancer cell lines. The dual-luciferase reporter assay showed that the promoter transcription activity in digestive system tumor cell lines transfected with pGL3-XAF1p promoter was apparently lower than that of both HEK293 and L02 cells. Expression of green fluorescent protein (GFP) under the control of XAF1 promoter in the three digestive system cancer cell lines was lower than that of both HEK293 and L02 cells. The activities of pGL3-XAF1p in the three digestive system cancer cell lines after treatment with heat stress were significantly lower than those in the unstressed cells. The results suggested that remarkably down-regulated XAF1 mRNA expression in digestive system cancer cell lines may be due to loss of transcription activity of XAF1 promoter.

  • RESEARCH ARTICLE
    Hong LI, Shaoqin CHEN, Yi SHU, Yongjun CHEN, Ying SU, Xin WANG, Shengquan ZOU

    To clarify the effect of DNA methylation and histone deacetylase inhibitors on the expression of the E-cadherin gene and the invasiveness of the QBC939 cells, the QBC939 cells were separately treated with hydralazine, valproate, or combination of the two drugs. The mRNA expression of E-cadherin was examined with reverse transcription-polymerase chain reaction (RT-PCR), the protein of the gene with Western blotting. The methylation status of the promoter region of the gene was detected with methylation-specific PCR (MSP). The invasiveness of QBC939 cells was detected with transwell assay. It was found that the promoter region of the E-cadherin gene of QBC939 cells was hypermethylated. Valproate alone could not contribute to demethylation of the gene, whereas hydralazine could make them to be partly demethylated. However, the methylation status of the gene could be thoroughly reversed by using valproate and hydralazine in combination. What’s more, it was confirmed that the E-cadherin gene of QBC939 cells could not be transcriptionally reactivated by Valproate alone, whereas hydralazine alone could induce moderate reexpression of the gene. However, using valproate and hydralazine in combination could result in robust reexpression of the E-cadherin gene (P=0.000). Likewise, the invasiveness of the QBC939 cells was sharply decreased by treatment with two drugs in combination and slightly decreased with one drug alone. It could be concluded that the two drugs have synergistic effect on the demethylation and reexpression of the E-cadherin gene of QBC939 cells, and also on the reduction of the invasiveness of the QBC939 cells.

  • RESEARCH ARTICLE
    Ke SONG, Nianjing RAO, Meiling CHEN, Yingguang CAO

    The regulatory effect of basic fibroblast growth factor (bFGF) mediated by recombinant adeno-associated virus (AAV) in vitro was investigated. Recombinant plasmid pAAV-S3-bFGF, and pSVneo were co-transfected into BHK-21 cells, then the recombinant AAV genome was replicated and packaged with the helper virus HSV1-rc/ΔUL2. The titer of the recombinant rAAV2-tet-off-bFGF was determined by dot-blot assay. MC3T3-E1 cells were infected with rAAV2-tet-off-bFGF. Regulatory effects of Doxycycline (Dox) on bFGF and osteogenic factors were assayed quantitatively by real-time reverse transcription-polymerase chain reaction (RT-PCR) and Western blot. The physical particle titer of rAAV2-tet-off-bFGF successfully constructed was 1.8×1012 vector genomes/mL, and the virus could infect MC3T3-E1 cells effectively. In MC3T3-E1 cells treated with Dox, the expression levels of exogenous bFGF and osteogenic factors declined to varying degrees. It was concluded that rAAV2-tet-off-bFGF could infect MC3T3 cells efficiently, and this recombinant system could be regulated successfully by Dox in vitro.

  • RESEARCH ARTICLE
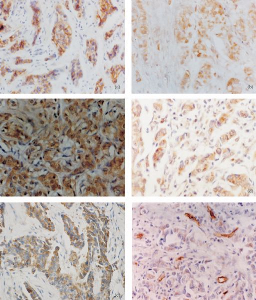
    Lihui WANG, Lianhong LI, Shen LV, Shujun FAN, Li ZHAN, Bo WANG, Zhong ZHANG

    The invasion and metastasis of breast cancer are supposed to involve several stages in which epithelial-mesenchymal transition (EMT) is regarded as the mechanistic basis for the behavior of cancer cells. A series of factors related to EMT are apparently involved in such process. The current study aimed to investigate the contributions of EMT and related factors in lymph node metastasis of breast cancer. The expressions of E-cadherin (E-Cad), N-cadherin (N-Cad), vascular endothelial cell growth factor (VEGF), matrix metalloproteinase-9 (MMP-9), cyclooxygenase-2 (COX-2), and CD34 were examined in 74 cases of breast cancer, including 39 cases with lymph node metastasis and 35 cases without lymph node metastasis by immunohistochemistry. Multivariable Cox proportional hazards model was used to analyze the patients’ prognosis. The expressions of N-Cad, VEGF, MMP-9, and COX-2 in cases with lymph node metastasis were significantly higher than those without lymph node metastasis (P<0.05), while the E-Cad level was inversely related to status of lymph node metastasis (P<0.05). The metastasis rate of lymph node in the cases with EMT (lower E-Cad expression and higher N-Cad expression) was 78.3%, while that without EMT (higher E-Cad expression and lower N-Cad expression) was 11.1%. There was a statistical difference in the expression of COX-2 protein between histological grade I and grade II or III, respectively (P<0.05). In the cases with higher grade, the expression of E-Cad was decreased, while that of N-Cad was increased. Higher microvascular density (MVD) was also found to be significantly associated with lymphatic metastasis (P<0.05), and the cases with higher MVD had shorter survival time. This study indicates that EMT and expressions of VEGF, MMP-9 and COX-2, and MVD value are strongly correlated with lymph node metastasis in breast cancer.

  • RESEARCH ARTICLE
    Ling HOU, Xiaoping LUO, Minlian DU, Huamei MA, Chunxiu GONG, Yuchuan LI, Shuixian SHEN, Zhuhui ZHAO, Li LIANG, Guanping DONG, Chaoying YAN, Hongwei DU

    Recombinant human growth hormone (rhGH) has been widely used in the clinical treatment of growth hormone deficiency. To simplify the injection process and increase drug compliance, application of the GH injection has become a new treatment plan in recent years. The purpose of the current study was to evaluate the efficacy and safety of rhGH injection for the treatment of growth hormone deficiency (GHD) in children in China. In a nationwide, noncomparative, prospective, randomized, open trial, 31 children with confirmed complete GHD received subcutaneous injection of rhGH at 0.25 mg/kg·wk (0.107 IU/kg·d). The injection was given daily and the total weekly amount was separated into 6-7 injections. The patients were followed up at 3-month intervals and the treatment duration was 12 months. The height (HT), annual growth velocity (GV), mean height standard deviation score (HT SDS), blood serum insulin-like growth factor I (IGF-I), insulin-like growth factor binding protein 3 (IGFBP-3), and bone maturity before and after treatment were compared, and the safety of the treatment was analyzed. The mean HT, GV, and HT SDS were increased from 109.0±14 cm, 2.7±0.9 cm/yr, and -4.62±1.46 at baseline to 121.8±13.4 cm, 12.9±3.3 cm/yr, and -2.47±1.86 after 12 months of treatment, respectively (P<0.001). At the same time, blood IGF-I and IGFBP-3 were increased significantly [41.27±64.43 μg/L vs 159.21±167.92 μg/L and 1540.00±1325.11 mg/L vs 3533.93±1413.82 mg/L, respectively (P<0.001)]. The bone age assessments performed 6 and 12 months after the treatment showed that no advanced bone maturation was noted. No serious adverse events occurred during the treatment, and the drug-related adverse events were mainly decreased thyroid function. We conclude that rhGH injection is a safe and effective drug for treatment of growth hormone deficiency in children.

  • RESEARCH ARTICLE
    Qigong LIU, Honglian ZHOU, Yan ZENG, Shan YE, Jiani LIU, Zaiying LU

    To evaluate the mechanism of vascular endothelial growth factor (VEGF) on the prevention of restenosis after angioplasty, the recombinant adenovirus vector containing hVEGF165 cDNA was constructed and transfected into vascular smooth muscle cells (VSMC) in vitro. The conditioned medium containing VEGF was collected 72 h after the infection. Then, the VSMC and human umbilical vein endothelial cells (HUVEC) were divided into control group, H2O2-treated group and H2O2+VEGF-treated group to observe the proliferation and apoptosis by water soluble tetrazolium (WST-1) method, in situ nick end labeling (TUNEL) and flow cytometry (FCM). Compared with the control and H2O2+VEGF-treated groups, the absorbance (A) value of HUVEC was decreased, and apoptosis of HUVEC was significantly increased in H2O2-treated group. The changes of A value and apoptosis of VSMC were contrary to those of HUVEC. H2O2 could stimulate the proliferation of VSMC and induce the apoptosis of HUVEC, inhibit the proliferation of HUVEC and the apoptosis of VSMC and induce restenosis. VEGF could inhibit the effect of H2O2 on HUVEC and VSMC and prevent restenosis. These results offered further theoretical evidence for VEGF on the prevention of restenosis after angioplasty.

  • RESEARCH ARTICLE
    Huicong KANG, Xiaoyan LIU, Hu QI, Feng XU, Xiang LI, Yuan WANG, Zhiguang LIU, Suiqiang ZHU

    The purpose of our research was to evaluate the efficacy, tolerance, and safety of oxcarbazepine (OXC) as monotherapy and add-on therapy for partial epilepsy. We carried out a prospective clinical follow-up trial at the Epilepsy Center of Tongji Hospital, Tongji Medical College, Huazhong University of Science and Technology. Sixty-seven patients with partial epilepsy received OXC therapy. The patients were randomly divided into a monotherapy group and an add-on therapy group. We observed the efficacy and safety in the first three months and the following three months respectively, and compared them with each other. There was a significant difference in the decrease of seizure frequency between the two groups (P = 0.002). There was a significant difference in the percentage of seizure-free between the monotherapy and the add-on therapy groups in the first three months (P = 0.02), and there were also statistical differences in the 50% response rate (P = 0.017) and the percentage of seizure-free in the following three months (P = 0.019). No difference was found in the 50% response rate, the 75% response rate, and the percentage of seizure-free between the first three months and the following three months in the whole group and the two subgroups (P > 0.05). The incidence rate of side effects due to the therapy was 19.40% (13 of 67). The side effects were mainly found in the first three months. It is concluded that OXC is the first-line anti-epileptic drug (AED) for partial seizures, and could be used as the monotherapy and add-on therapy for newly diagnosed patients and patients that failed to tolerate or benefit from other AEDs.

  • RESEARCH ARTICLE
    Xiaoxia LU, Weikun HU, Shengdao XIONG, Guopeng XU, Fen LAN

    The study aimed to detect the expression of the Th1-specific cell surface protein T cell Ig and mucin domain-containing molecule-3 (Tim-3) mRNA in peripheral blood lymphocytes isolated from asthmatic patients and to examine the correlation among Tim-3 mRNA, interleukin-4 (IL-4), interferon-γ (IFN-γ) level, and FEV1/FVC (force expiratory volume in one second/forced vital capacity) to explore the role of Tim-3 in the development and progression of asthmatic inflammation. Tim-3 mRNA expression was detected by reverse transcription polymerase chain reaction (RT-PCR). The IL-4 and IFN-γ levels were determined by using enzyme-linked immunosorbent assay (ELISA). The correlation among Tim-3 mRNA, IL-4, IFN-γ level, and pulmonary ventilatory capacity was analyzed. The expression of Tim-3 mRNA in patients with acute asthma exacerbation was 0.39±0.06, significantly higher than that in patients at the remission stage and controls (0.18±0.05 and 0.07±0.03, P<0.05). The level of IL-4 in patients with acute asthma exacerbation was 68.42±10.54, significantly higher than that in the patients at the remission stage and controls (41.83±9.37 and 32.75±8.16, P<0.05). The level of IL-4 in patients in remission was significantly higher than that in controls (P<0.05). The level of IFN-γ in patients with acute asthma exacerbation was 65.74±7.85, significantly lower than that in patients in remission and the control group (120.84±11.62 and 139.65±13.47, P<0.05). The level of IFN-γ in patients in asthma remission was significantly lower than that in controls (P<0.05). Tim-3 mRNA expression was positively correlated with the level of IL-4 (r=0.68, P<0.05) and negatively with the level of IFN-γ and pulmonary ventilatory capacity (r=-0.85, r=-0.76, both P<0.01). The increased expression of Tim-3 mRNA in peripheral blood lymphocytes might be involved in the development and progression of asthmatic inflammation.

  • RESEARCH ARTICLE
    Minggen YANG, Xiaokun ZHAO

    This retrospective study was performed to compare the outcome of thoracoabdominal incision versus flank incision for radical nephrectomy in the patients with large renal tumors. A questionnaire assessing postoperative pain, administration of pain medications and the return to activities and work was sent to the patients who undergoing radical nephrectomy through the 11th rib (group 1: underwent flank incision, including 96 patients) or the 9th to 10th rib (group 2: undergoing thoracoabdominal incision, including 98 patients) from 2003 to 2007 in our hospital. A case retrospective analysis assessing operation time, perioperative hemorrhage volume, size of tumor, success in the treatment of tumor thrombus in renal vein or vena cava, time length of presence of drainage tube, postoperative analgesia usage and length of stay was conducted in patients whose questionnaires were returned. A total of 56 patients (58%) in group 1 and 60 (61%) in group 2 responded to the questionnaire. Time lengths of operation and presence of abdominal drainage tube were shorter in group 2 than those in group 1. Perioperative hemorrhage volume in group 2 was obviously less than that in group 1. The mean size of tumors in group 1 was significantly smaller than that in group 2 (P< 0.0005). The success rate of treating thrombus in renal vein or vena cava in group 2 was significantly higher than that in group 1 (P<0.05). Lengths of off-bed time and stay were the same in both groups. There were no differences between groups in terms of pain severity on postoperative day 1, on day of discharge and 1 month postoperatively (P >0.05). There were no significant differences between groups in the time following surgery when pain completely disappeared, when pain medications were discontinued, and when the patient returned to daily activities and work (P >0.05). The thoracoabdominal incision provides excellent exposure and allows for early vascular control. Efficacy and complication was comparable for thoracoabdominal and flank incisions in terms of incisional pain, analgesic requirements after discharge and return to normal activities.

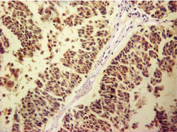
  • RESEARCH ARTICLE
    Bin HAO, Changwei LIU, Huixiang LI

    The mRNA and protein expression of phosphatase of regenerating liver 1 (PRL-1) and phosphatase of regenerating liver 3 (PRL-3) in transitional cell carcinoma of bladder (BTCC) and normal epithelia of bladder was investigated, and the relationship between the BTCC and pathological changes was clarified. The expression of PRL-1 and PRL-3 mRNA was detected by using reverse transcription polymerase chain reaction (RT-PCR) in 30 cases of BTCC and 10 cases of normal bladder, and the expression of PRL-1 and PRL-3 protein was checked by using immunohistochemistry in 30 cases of BTCC and 15 cases of normal bladder. The expression levels of PRL-1 and PRL-3 mRNA and protein were higher in BTCC than those in normal bladder epithelia (P<0.05). The increased expression of PRL-1 and PRL-3 mRNA and protein was detectable in deep invasion and metastasis of BTCC (P<0.05). There was no correlation between the expression of PRL-1 and PRL-3 and gender, age or recurrence of BTCC (all P>0.05). A significantly positive correlation was found between PRL-1 and PRL-3 in BTCC (P<0.05). PRL-1 and PRL-3 are expressed consistently and may contribute to the growth, differentiation, invasion and metastasis of BTCC.

  • RESEARCH ARTICLE
    Zhao DING, Zhishui CHEN, Xilin CHEN, Ming CAI, Hui GUO, Nianqiao GONG

    To investigate the effect and underlying mechanism of adenovirus-mediated antisense ERK2 (Adanti-ERK2) gene therapy upon chronic allograft nephropathy (CAN) of rats, male Lewis (LEW, RT11) rats received male Fisher (F344, RT11v1) renal allografts. The recipients were divided into three groups: (1) empty control group; (2) vector control group; (3) gene therapy group. All recipients were sacrificed for the grafts and serum analysis at the 24th week after transplantation. Morphometric analysis was used to determine the fibrosis of grafts. Immunohistochemistry was used to detect the expression of E-Cadherin, Vimentin, TβR I and the infiltration of CD4+ T lymphocyte, CD8+ T lymphocyte and ED-1+ monocytes. Enzyme linked immunosorbent assay (ELISA) was used to detect TGF-β1 in serum. The grafts in the control group and vector control group showed CAN. There was less E-Cadherin in renal tubular epithelial cells in the empty control group but more Vimentin and TβR I. In the gene therapy group, the fibrosis was ameliorated and fewer T lymphocytes and ED-1+ monocytes infiltrated in the interstitium. There was no significant difference in the expression of E-Cadherin between the gene therapy group and normal rats. Compared with the empty control group, the expression of TGF-β1 in the gene therapy group was down-regulated. Adanti-ERK2 gene therapy protects the renal allograft and attenuates graft fibrosis, which may be correlated with a decreased renal tubular epithelial mesenchymal transition, a decreased infiltration of CD4+ T lymphocyte, CD8+ T lymphocytes and ED-1+ monocytes in renal interstitium, and the down-regulated TGF-β1 expression.

  • RESEARCH ARTICLE
    Chunquan CAI, Qian LI, Qingjiang ZHANG, Changhong SHEN

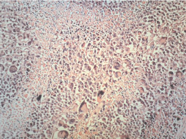
    To gain a broader appreciation of the clinical presentation, operative treatment, and outcome of fibrous dysplasia involving the calvarium in children, we retrospectively reviewed a series of cases of fibrous dysplasia involving the calvarium (4 males and 2 females) with patients’ age ranging from 5 to 12 years old. The clinical manifestation, radiographic findings, surgical treatment, outcome and follow-up were evaluated on the basis of medical records. Fibrous dysplasia in the series was monostotic, involving frontal bone (2 cases), temporal bone (1 case), parietal bone (2 cases) and occipital bone (1 case). The patients most commonly presented with enlarging mass and cosmetic complaints. The treatment given, depending on clinical presentation, was simple biopsy with conservative follow-up (2 cases) to cranial resection (4 cases). All the cases were histopathologically confirmed as fibrous dysplasia. It was demonstrated thatfibrous dysplasia involving the calvarium is a typically benign but slowly progressive disorder of bone. Modern imaging modalities and histopathologic analysis have made diagnosis relatively straightforward. Surgery should be reserved for patients with functional impairment or cosmetic deformity. Because of the benign nature of the condition, the surgery itself should be contemplated with great caution in children.

  • RESEARCH ARTICLE
    Geqing XIA, Chaoying WU

    The purpose of this study was to investigate the expression of inducible nitric oxide synthase in trophoblasts and deciduas in early medical abortion, and study the relationship of medical abortion through mifepristone and inducible nitric oxide synthase (iNOS) in early pregnancy. Expression of iNOS in trophoblasts and deciduas was detected by both in situ hybridization and immunohistochemical assay in 40 patients (experimental group); the positive expression of iNOS was represented by number density (N/S) and positive unit (Pu) using computer color magic image analysis system (CMIAS). All results were compared with that obtained from vacuum aspiration. In the experimental group, N/S and Pu in trophoblasts were 0.120 ± 0.010 and 15.3 ± 2.6, respectively, while in the control group, they were 0.021 ± 0.003 and 3.1 ± 0.5, respectively, and there were significant differences between the two groups. By immunohistochemical assay, N/S and Pu were 0.090 ± 0.010, 10.24 ± 1.55 vs 0.016 ± 0.002, 1.26 ± 0.33 in the trophoblasts of the two groups; there were also significant differences between the two groups. There were lower iNOS expressions in deciduas by in situ hybridization and immunohistochemical assay, and the difference between the two groups was not significant.It was concluded that mifepristone induced medical abortion through the expression of iNOS in trophoblasts but not in deciduas.

  • RESEARCH ARTICLE
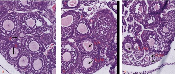
    Linlin LIANG, Bei XU, Guijin ZHU

    This study aimed to evaluate the effect of repeated ovarian stimulation (OS) on the ovarian follicular population and morphology in female mice and its influence on the embryo’s developmental ability, and the profile of the ovarian surface epithelium (OSE). A total of 75 mice were enrolled in this experiment and randomly assigned into three groups: repeated ovarian stimulated group [n=25; receiving 5 IU pregnant mare serum gonadotrophin (PMSG) and human chorionic gonadotropin (hCG) at 6 day intervals for 5 cycles]; single ovarian stimulated group (n=25; receiving 5 IU PMSG and hCG for 1 cycle), and control group (n=25; without additional treatment). The follicle number at various stages and the morphologies were recorded respectively in the three groups. The harvested oocytes or embryos, cleavage rate, good quality embryo rate, and blastocyst production rate were counted and calculated, and the proliferations of ovarian surface epithelium were evaluated respectively. In the three groups, the single ovarian stimulation treatment significantly increased the mean number of ovarian oocytes or embryos (39.25±10.77 one-cell embryos/female); on the other hand, repeated gonadotropin stimulation obtained the lowest mean number (5.15± 2.81 eggs/female, P<0.01). Repeated ovarian stimulation also tended to decrease normal follicles of primary follicles (66.67%) and secondary follicles (72.86%), and got the lowest cleavage rate (67.47%), lowest good quality embryo rate (2.41%), and lowest blastocyst production rate (0). The OSE cells adjacent to the antral follicles and corpus luteum (CL) in the repeated ovarian stimulated group (81.8%) had a significantly higher proliferation rate than the other groups. The proliferation rate of the OSE in the single ovarian stimulated group (56.4%) was significantly higher than that in the control group (37.5%) (P<0.01). In conclusion, single ovarian stimulation may produce more oocytes/embryos. However, repeated gonadotropin stimulation may have a negative effect on the ovarian follicular quality, the number of mature retrieved oocytes, and the embryo quality, even increasing the chance of ovarian cancer.

  • RESEARCH ARTICLE
    Xiaojun ZHAO, Jingjuan WEI, Rong WANG, Yajun GU, Yunde LIU

    In order to improve the quality of routine cervical smears, we investigated the new Thinprep cytologic test (TCT) for cervical cells. In this study, 100 women who were enrolled were randomly divided into two groups. In one group, the TCT for cervical cells was applied (TCT group), and in the other group routine cervical smear was used. In addition, the cells in the TCT group were screened by double sifters, and centrifuged using a separation medium so as to eliminate mucus, inflammatory cells and blood cells. According to the cell distribution and the thickness of the smear, the results were assigned to three groups, including satisfactory smears, less satisfactory smears and unsatisfactory smears. The TCT had a higher satisfactory rate (98%) compared to the routine cervical smear (32%) (P<0.01), indicating the TCT was superior to the routine cervical smear. It is concluded that the TCT is more acceptable. Meanwhile, in comparison to the routine cervical smear, the TCT for cervical cells has 5 advantages which can greatly increase the cytological accuracy.

  • RESEARCH ARTICLE
    Weiwei CHEN, Jianpin QI, Wenzhen ZHU, Wenhua HUANG, Jinmei SONG

    We implemented a new protocol — multiphase dynamic helical scan to acquire CT angiography (CTA) and whole brain CT perfusion (CTP) images simultaneously with single scan on 16 multidetector CT (MDCT). A total of 90 patients who were randomly assigned into 3 groups were included in our study. Each group underwent CT scan by using the new protocol, traditional CTA and CTP protocol, respectively. The image quality of CTA, the CTP parameter values and the X-ray doses were measured and compared between the new protocol and the traditional protocols. There was no statistically significant difference in the CTA image quality between the above methods (P=0.55). For CTP parameters, the new protocol tended to overestimate the blood volume (BV) and blood flow (BF) value, and to underestimate the mean transit time (MTT) value compared with the traditional method. However, there was no statistically significant difference in BV, BF, and MTT value between the two methods except permeability surface (PS) (P>0.05). The volume CT dose index (CTDIvol) and dose length product (DLP) of our protocol were lower than the traditional one. The new protocol can obtain valuable diagnostic information in a shorter time without significant compromise in image quality. In addition, it reduces the radiation dose as well as contrast medium usage on the patient.

  • RESEARCH ARTICLE
    Rui ZHU, Lin SHEN

    This study aimed to investigate the expression of protease-activated receptors (PARs) on platelets in healthy individuals and preliminarily elucidate physiological functions of PARs. Thirty healthy volunteers, who did not take any anticoagulants and antiplatelet agents within 10 days before the examination, were recruited. Fasting venous blood (5 mL) was taken from the medial cubital vein in each individual and platelet-rich plasma (PRP) was prepared. The expression of PAR1 mRNA and PAR4 mRNA in PRP was determined by RT-PCR analysis. The results showed that the average levels of PAR1 mRNA and PAR4 mRNA on platelets in healthy individuals were 0.1601 ± 0.0269 and 0.1073 ± 0.0194 respectively. In combination with literature analysis, it was concluded that the thrombin signaling pathway plays a vital role in the development of hemostasis and thrombosis, and the selective PARs antagonist has the potential for extensive application in clinical practice.

  • CASE REPORT
    Yin XIA, Dan SHANG, Qin LI, Xiaoqin RUN, Chenxi OUYANG, Yiqing LI, Bi JIN

    Severe diffuse cavernous hemangioma of the lower limb is rarely seen among young people and sometimes can be a fatal challenge for operation. We reported a case of diffuse cavernous hemangioma involving both skin and muscles of the left lower limb and perineal region in an adolescent patient. The patient who had previously undergone a local hemangioma resection of the foot ultimately ended in superficial femoral artery ligation and supergenual thigh amputation of the left upper leg because of uncontrollable massive bleeding of anastomotic stoma.