2009-03-05 2009, Volume 3 Issue 1
  • Select all
  • REVIEW
    Gang WANG

    Reactive oxygen species (ROS) are small molecule metabolites of oxygen that are prone to participate in redox reactions via their high reactivity. Intracellular ROS could be generated in reduced nicotinamide-adenine dinucleotidephosphate (NADPH) oxidase-dependent and/or NADPH oxidase-independent manners. Physiologically, ROS are involved in many signaling cascades that contribute to normal processes. One classical example is that ROS derived from the NADPH oxidase and released in neurotrophils are able to digest invading bacteria. Excessive ROS, however, contribute to pathogenesis of various human diseases including cancer, aging, dimentia and hypertension. As signaling messengers, ROS are able to oxidize many targets such as DNA, proteins and lipids, which may be linked with tumor growth, invasion or metastasis. The present review summarizes recent advances in our comprehensive understanding of ROS-linked signaling pathways in regulation of tumor growth, invasion and metastasis, and focuses on the role of the NADPH oxidase-derived ROS in cancer pathogenesis.

  • REVIEW
    Rong LIU, Qing TIAN

    Protein phosphatase 2A (PP2A) is the predominant serine/threonine phosphatase in eukaryotic cells. In the brains of patients with Alzheimer’s disease (AD), decreased PP2A activities were observed, which is suggested to be involved in neurofibrillary tangle (NFT) formation, disturbed amyloid precursor protein (APP) secretion and neurodegeneration in AD brain. Based on our research and other previous findings, decreased PP2Ac level, decreased PP2A holoenzyme composition, increased level of PP2A inhibitors, increased PP2Ac Leu309 demethylation and Tyr307 phosphorylation underlie PP2A inactivation in AD. β-amyloid (Aβ) over-production, estrogen deficiency and impaired homocysteine metabolism are the possible up-stream factors that inactivate PP2A in AD neurons. Further studies are required to disclose the role of PP2A in Alzheimer’s disease.

  • REVIEW
    Yang YU, Jibin LIU, Lixue YIN

    Lymphography is often used for the diagnosis of lymphatic metastasis in oncology. Determination of lymphatic metastasis is extremely important for accurate cancer staging, which may directly guide the clinical therapeutic scheme. In recent years, the technology of lymphography has developed rapidly on the basis of traditional lymphography, with the appearance of computed tomography (CT) lymphography, nuclear magnetic resonance (MR) lymphography, contrast-enhanced lymphosonography, and so on; the diagnostic accuracy has also been improved. The imaging principles and methods of these various technologies of lymphography are reviewed in this paper, and their applications and significance in oncology are also discussed in detail.

  • RESEARCH ARTCILE
    Hui QIU, Hui ZHANG, Zuohua FENG

    The interaction by co-stimulatory molecules 4-1BB and 4-1BB ligand (4-1BBL) plays an important role in the activation, proliferation and differentiation of T lymphocytes. The function of 4-1BB/4-1BBL expressed by the immune cells has been the focus for many tumor immunotherapy efforts. In this study, 4-1BBL was expressed in non-immune cells and non-tumor cells, and the role of 4-1BBL in lymphocyte activation and tumor suppression was investigated. The plasmid p4-1BBL containing the full length of mouse 4-1BBL cDNA sequence was constructed, and the plasmid was transfected into baby hamster kidney (BHK) cells and murine muscle cells by means of lipofectin-mediated or naked plasmid DNA injection into the muscle directly. The study demonstrated that the molecule 4-1BBL expressed by BHK cells in vitro could enhance the proliferation and cytotoxicity of lymphocytes, and it could increase the expression level of IL-2 and IFN-γ. The treatment with plasmid p4-1BBL in vivo revealed that the number of CD8+ T cells in the peri-tumoral tissue increased markedly, and the growth rate of the tumor was significantly lower than that of control group. These findings suggest that expression of 4-1BBL by normal cells in the tumor microenvironment can enhance the proliferation and other functions of T lymphocytes. This therapeutic method may provide a promising approach for tumor immunotherapy.

  • RESEARCH ARTICLE
    Liang ZHUANG, Shiying YU, Xiaoyuan HUANG, Yang CAO, Huihua XIONG

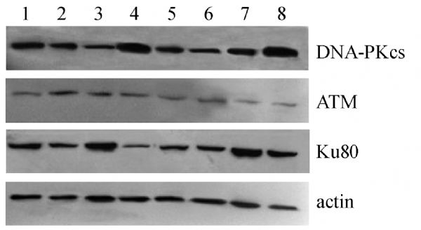
    DNA double-strand break (DSB) is generally regarded as the most lethal of all DNA lesions after radiation. Ku80, DNA-PK catalytic subunit (DNA-PKcs) and ataxia telangiectasia mutated (ATM) proteins are major DSB repair proteins. In this study, survival fraction at 2Gy (SF2) values of eight human tumor cell lines (including four human cervical carcinoma cell lines HeLa, SiHa, C33A, Caski, three human breast carcinoma cell lines MCF-7, MDA-MB-231, MDA-MB-453, and one human lung carcinoma cell line A549) were acquired by clone formation assay, and western blot was applied to detect the expressions of Ku80, DNA-PKcs and ATM protein. The correlativity of protein expression with SF2 value was analyzed by Pearson linear correlation analysis. We found that the expression of same protein in different cell lines and the expression of three proteins in the same cell line had a significant difference. The SF2 values were also different in eight tumor cell lines and there was a positive correlativity between the expression of DNA-PKcs and SF2 (r =0.723, P = 0.043), but Ku80 and ATM expression had no correlation with SF2 (P>0.05). These findings suggest that the expression level of DNA-PKcs protein can be an indicator for predicting the radiosensitivity of tumor cells.

  • RESEARCH ARTCILE
    Jiangtao YAN, Rutai HUI, Daowen WANG

    The role of high sensitivity C-reactive protein (hsCRP) in predicting prognosis after stroke in the Asian population has not been investigated. We hypothesized that elevated levels of hsCRP were associated with worsening prognosis after stroke in Chinese patients. Two hundred and ninety consecutive patients with first-onset stroke and 290 age- and gender-matched control subjects without any cerebrovascular disease were enrolled for study. Plasma hsCRP level was detected and subsequent vascular events and death were recorded in both groups over a 5-year period. Compared to control group, patients presenting with stroke had higher plasma hsCRP level (3.3 ± 3.8 vs 1.3 ± 2.2 mg/L, P< 0.01). Furthermore, in the group of patients with stroke, the mean plasma hsCRP level was higher in patients who developed subsequent vascular diseases or died as compared with the patients without further complications (4.4 ± 4.3 vs 2.7 ± 3.3 mg/L, P< 0.01). Compared to the lowest tertile of hsCRP level, the relative risk for vascular events or death in stroke patients was 2.91 in the highest tertile of hsCRP (95% CI, 1.54–5.50, P = 0.001). This increase in relative risk for vascular events or death in stroke patients continued after adjustment for age, sex and other cardiovascular risk factors such as hypertension and diabetes (OR: 2.771, 95% CI: 1.367–5.617, P = 0.005). These findings indicate that increased hsCRP level is associated with worsening prognosis after stroke in Chinese patients and suggests that inflammation is correlated with stroke outcome.

  • RESEARCH ARTICLE
    Ling YANG, Rui ZHU, Qingjing ZHU, Dan DAN, Jin YE, Keshu XU, Xiaohua HOU

    This study aims to investigate the influence of β-elemene on the secretion of angiotensin II (ANG II) and the expression of angiotensin receptor type 1 (AT1R) in hepatic stellate cells (HSCs). In vitro, HSC-T6 were cultured for 24 hours and then treated with different doses of β-elemene (2.5, 5 and 10 mg/L). A control group was also set up. The secretion of ANG II in the supernatant was detected by radioimmunoassay. The mRNA expression of AT1R at 4, 12 and 24 h after treatment was detected by reverse transcription-polymerase chain reaction (RT-PCR), respectively. The protein expression of AT1R was detected by western blot. At the 4th h, the ANG II secretion in the supernatant was significantly inhibited by 10 mg/L β-elemene compared with the control group (P<0.05), while 5.0 mg/L and 2.5 mg/L β-elemene had no inhibitory effect on the secretion of ANG II (P>0.05). At the time point of the 12th h, the secretion of ANG II in the supernatant treated with 10 mg/L and 5.0 mg/L β-elemene was significantly lower than the control (P<0.01, P<0.05). Following the treatment with 5.0 mg/L and 2.5 mg/L β-elemene for 24 h, significant inhibition of ANG II secretion was observed (P<0.05), but 10 mg/L β-elemene had no such effect. β-elemene significantly reduced the amount of AT1R mRNA in HSCs after the treatment for 4, 12, and 24 h in a dose-dependent manner. The expression of AT1R protein also decreased after the treatment with β-elemene for 24 h. β-elemene can inhibit the secretion of ANG II and the gene and protein expression of AT1R, which may be the mechanism by which β-elemene prevents the progress of hepatic fibrosis.

  • RESEARCH ARTCILE
    Fen LAN, Shengdao XIONG, Weining XIONG, Guopeng XU, Xiaoxia LU

    This study aims to research the expression of spleen tyrosine kinase (Syk) in non-small cell lung cancer (NSCLC) and the relationship between Syk and clinicopathologic factors and p53. Immunohistochemistry was applied to detect the expression of Syk and p53 protein in 39 cases of NSCLC (23 cases of lung squamous cell cancer, 16 cases of lung adenocarcinoma) and tumor-surrounding normal lung tissues. The positive rate of Syk was 46.15% (18/39) and 100% (39/39) in NSCLC and tumor-surrounding normal lung tissues, respectively. The expression level of Syk in NSCLC was significantly lower than that in tumor-surrounding normal lung tissues (P = 0.000). The Syk expression was positively correlated withthe p53 expression in NSCLC specimens (P = 0.025). There was no significant association between Syk expression and lymph node metastasis, differentiation degree, tumor size and tumor node metastasis (TNM). The present study demonstrated that Syk was aberrantly expressed in the NSCLC and might have a significant impact on tumor growth and progression.

  • RESEARCH ARTCILE
    Chengwei JING, Qin FU, Xiaojun XU

    This study was aimed to explore the anterior cervical surgery methods to treat central cord syndrome without radiographic spinal fracture-dislocation (CCSWORFD), retrospectively analyze the cases of CCSWORFD, and evaluate the curative effect of anterior cervical surgery methods for CCSWORFD. Twenty four cases of CCSWORFD (19 males and 5 females), all suffering from cervical hyperextension injury, between 45-68 (average 59) years old, were operated on by anterior cervical surgery methods. Among these, 18 cases had been followed up for 6-24 (average 15) months; 18 cases, who had anterior decompression and plate fixation with titanium mesh bone grafting or iliac bone grafting achieved reliable effects based on the Japanese Orthopedics Association (JOA) evaluation (improved scores of cases with titanium mesh bone grafting, t = 2.800, P<0.05; improved scores of cases with iliac bone grafting, t = 3.270, P<0.05), and reliable reconstruction of cervical spine. The two groups obtained the same curative effect (t = 0.470, P >0.05) Most of these cases had degeneration of cervical vertebra. The decompression which relieves the oppression to the spinal cord can help lessen edema of the spinal cord, and early fixation for stability of cervical vertebra is better for the recovery of spinal cord injury. Anterior operation with titanium mesh bone grafting or iliac bone grafting are both reliable curative methods for CCSWORFD, and titanium mesh bone grafting can avoid the trauma of the supplying graft. Mesh bone grafting can also shorten hospital stay.

  • RESEARCH ARTICLE
    Xiaohua PAN, Shuhua YANG, Deming XIAO, Yong DAI, Lili REN

    The aim of this paper was to study the differential gene expression of giant cell tumor of bone (GCTB) by gene chip technology. Total RNA of 8 fresh GCTB specimens (Jaffe I∶6 cases, II∶1 case, III∶1 case; Campanacci I∶6 cases, II∶1 case, III∶1 case; Enneking Staging G0T1-2M0: 5 cases, G1T1-2M0: 2 cases, G1T2M0: 1 case) and 4 normal bony callus specimens (the control group) were extracted and purified to get mRNA and then reverse transcribed to complementary DNA, respectively. Microarray screening with a set of 8064 human cDNA genes was conducted to analyze the difference among the samples and the control. The hybridization signals were scanned. The gene expression disparity between the GCTB samples and normal bony callus was significantly different (P<0.01), and the disparity of over 5-fold was found in 47 genes in the GCTB specimens, with 25 genes up-regulated and 22 down-regulated including the extracellular matrix and transforming-related genes, oncogene and its homolog genes, cytokine and its receptor genes. Specific gene spectrum associated with GCTB can be identified by cDNA microarray, which will be the foundation of progressive etiology elucidation, diagnosis and treatment of GCTB.

  • RESEARCH ARTICLE
    Zhengjuan LIU, Jie BIAN, Yuchuan WANG, Yongli ZHAO, Dong YAN, Xiaoxia WANG

    Leptin resistance is a main mechanism of acquired childhood obesity, and the suppression of long form of leptin receptor (OBRb) gene expression in diet-induced obese rats indicates that the down-regulation of OBRb gene expression plays a pivotal role in the mechanism of leptin resistance. The aim of the present study was to construct the lentiviral RNA interference (RNAi) vector of rat OBRb gene and evaluate the effects of siRNA on silencing OBRb gene expression. The target sequence of siRNA-OBRb was designed, and the complementary DNA containing both sense and antisense oligonucleotides was synthesized. After phosphorylation and annealing, these double-stranded DNA was cloned to pRNA-lentivector-VGFP to construct pRNA-Lenti-OBRb-VGFP recombinants with U6-containing promoter, target sequence and Poly III terminator. Then, the products were confirmed by electrophoresis and sequencing analysis, and the effects of RNAi on reducing gene expression were further confirmed by real-time polymerase chain reaction in transfected rat glioma cells expressing OBRb. The target sequence of siRNA-OBRb was successfully cloned to pRNA-lentivector-VGFP, and the RNAi protocol specifically reduced the expression of OBRb mRNA by approximately 80% compared with controls in transfected rat glioma cells. The successful construction of rat lentivirus vectors expressing OBRb-specific shRNA may be useful for further investigation in vivo.

  • RESEARCH ARTCILE
    Miao LIU, Xiaoyan WU, Jiawei XU, Runming JIN

    The aim of this study was to explore the regulatory mechanism of retinoic acid (RA) on the TBX1 gene expression in myocardial cells. Ventricular cardiocytes were isolated from neonatal rats and cultured, and then treated with different concentrations of retinoic acid. The expression of Shh and Fgf8 at mRNA and protein levels in neonatal rat myocardial cells were measured by using RT-PCR and Western blot technique, respectively. There was basal expression of Shh and Fgf8 in the control group. When treated with 3×10-7 mol/L RA, we observed that the expression of Shh mRNA and protein in neonatal rat myocardial cells were up-regulated by 1.51 (P<0.05) and 1.10 times (P<0.05), respectively. In comparison with the control group, under the concentration of 5×10-7 mol/L RA, they were up-regulated by 2.21 (P<0.05) and 2.38 times (P<0.05) individually. Meanwhile, we could detect that the expression of Fgf8 mRNA and protein were up-regulated by 2.50 times (P<0.05) and 80% (P<0.05) separately compared with the control group after stimulation of 3×10-7 mol/L RA, and they were up-regulated by 3.48 (P<0.05) and 2.04 times (P<0.05) individually after stimulation of 5×10-7 mol/L RA. The results indicated that RA could induce the expression of Shh and Fgf8 in neonatal rat myocardial cells. At the same time, it has shown that Shh and Fgf8 were involved in the regulation process of RA on TBX1 expression.

  • RESEARCH ARTICLE
    Xixun DU*, Huamin XU*, Hong JIANG, Jun WANG, Lei WANG, Junxia XIE

    Divalent metal transporter 1 (DMT1) is a ferrous iron import protein. The improper expression of DMT1 is involved in neurodegenerative diseases. In the present study, we constructed a recombinant adenovirus containing the gene of DMT1 without the iron response element (DMT1-IRE) and investigated its expression and function in the C6 glioma cell line. The DMT1-IRE gene, obtained by RT-PCR, was cloned into the shuttle plasmid pAdTrack-CMV containing green fluorescent protein (GFP) reporter gene. Linearized plasmid pAdTrack-CMV-DMT1-IRE was subsequently co-transformed into Escherichia coli (E. coli) BJ5183 cells along with an adenoviral backbone plasmid pAdEasy-1 after digestion with Pme I. Pac I-digested pAdEasy1-DMT1-IRE was then transfected into E1-transformed human embryonic kidney cells (HEK293 cells) , in which recombinant adenoviruses were generated within 7 to 10 days. The results demonstrated that we obtained the DMT1-IRE gene. pAdEasy1-DMT1-IRE yielded a large fragment, plus a smaller fragment of 4.5 kb after digestion with PacI. PCR confirmed pAdEasy1-DMT1-IRE contained gene DMT1-IRE, indicating the successful construction of recombinant adenovirus plasmid containing DMT1-IRE. GFP fluorescence further confirmed the generation of adenovirus. AdDMT1-IRE could efficiently infect C6 glioma cells. And cell viability decreased in Ad-DMT1-IRE infected cells after iron overload compared to the control. These results suggest that the over expressed DMT1-IRE can aggravate the iron induced cell death due to its iron influx function.

  • RESEARCH ARTCILE
    Rong WANG, Shangwei WU, Xue LI, Ping HE, Yunde LIU

    In order to provide useful information for effective control and clinical therapy of infection, the resistance status and the rate of carryingAmpC β-lactamase of Enterobacter cloacae (E. cloacae) were investigated. By VITEK (Bacterial automatic biochemical analyzer), the isolates of E. cloacae were identified and the drug resistance was measured. The AmpC enzyme was detected by the five-disk diffusion test.Antibiotic sensitivity test showed that the resistance effects of E. cloacae to cefazolin, cefoxitin and ampicillin were more serious, with resistant rates of 80.5%, 75.3% and 70.1%, respectively. However, it was more sensitive to Sulperazone (cefoperazone/sulbactam, 13.0%), amikacin (16.9%) and ciprofloxacin (19.5%). Meanwhile, the phenotype detection showed that 35.06% (27/77) isolates of E. cloacae produced AmpC β-lactamase. Most of E. cloacae are multi-drug resistant strains. Sulperazone (cefoperazone/sulbactam), a kind of component β-lactamase, is a more effective antibiotic for treating infection caused by E. cloacae. Unreasonable application of the third generation cephalosporins plays an important role in leading to emergence of high-yield AmpC β-lactamase strains, so antibiotics should be used wisely.

  • RESEARCH ARTCILE
    Qi RUI, Qin LU, Dayong WANG

    During normal metabolism, oxidative byproducts will inevitably generate and damage molecules thereby impairing their biological functions, including the aging process. Bushenkangshuai Tang (补肾抗衰方, BT) is a traditional Chinese medicine widely used for clinically treating premature ovarian failure. In the present study, BT administration at high concentrations significantly increased lifespan, slowed aging-related decline, and delayed accumulation of aging-related cellular damage in wild-type Caenorhabditis elegans. BT administration could further largely alleviate the aging defects induced by UV and oxidative stresses, and BT administration at different concentrations could largely rescue the aging defects in mev-1 mutant animals. The protective effects of BT administration on aging process were at least partially dependent on the Ins/IGF-like signaling pathway. Moreover, BT administration at different concentrations obviously altered the expression patterns of antioxidant genes and suppressed the severe stress responses induced by UV and oxidative stresses, suggesting that BT-induced tolerance to UV or oxidative stress might result from reactive oxygen species scavenging. BT administration during development was not necessarily a requirement for UV and oxidative stress resistance, and the concentrations of administrated BT examined were not toxic for nematodes. Therefore, BT administration could effectively retrieve the aging defects induced by UV irradiation and oxidative stress in Caenorhabditis elegans.

  • RESEARCH ARTCILE
    Yanli LIU, Rong LIU, Cheng ZHEN, Quanfang GUO, Liping WU, Zhaoxi DING, Yushun BI, Zhiyu LIU

    To study the efficacy of Fuganling granula (FGL, 复肝灵颗粒) in treating mouse immunological hepatic injury that was caused by Bacille Calmette Guerin (BCG) and lipopolysaccharide (LPS), a total of 60 mice were adopted, among which, 50 mice were given intraperitoneal injection with BCG and LPS to establish an immunological liver injury model and then were randomly divided into 5 groups (10 mice/group): 4 groups received treatment of FGL orally at the doses of 100 mg/kg (high-dosage), 50 mg/kg (middle-dosage), 25 mg/kg (low-dosage) and bifendate orally at the dose of 80 mg/kg, respectively. One group was treated with distilled water orally. The remaining 10 mice were given distilled water intraperitoneally as the normal control group. The indices of thymus, liver and spleen, and the activities of the alanine aminotransferase (ALT), aspartate aminotransferase (AST) in the serum were detected. Compared to the normal rat, the model group’s thymus index decreased significantly. The liver index and spleen index increased significantly. The activities of serum ALT and AST increased significantly (all P< 0.01). Compared to the model control group, the group treated with FGL in high-dosage, middle-dosage or low-dosage can decrease the activities of ALT and AST and the group treated with FGL in high-dosage and middle-dosage can increase the thymus index significantly (P< 0.01). This experiment established the immunological liver injury model successfully and found that FGL has a remarkably protective effect on this kind of immunological hepatic injury.

  • RESEARCH ARTICLE
    Qi WANG, Hongzhi JIANG, Shengli CHEN, Mingmin ZHANG, Mingxing DING, Esheng KONG, Guangying HUANG

    The aim of this paper was to explore the relationship between energy metabolism and the meridian phenomenon. The manner of change of oxygen partial pressure in acupoints and no-acupoints of the urinary bladder meridian of goats was observed with a needle-type tissue oxygen tension sensor after the acupuncture effect was blocked by Ca2+ complexation with ethylenediamine tetraacetic acid (EDTA)-Na2. The results showed that: (1) the concentration of calcium ion in urinary bladder meridian acupoints was higher than that in no-acupoints (P<0.01 or P<0.05); (2) the tissue oxygen tension in urinary bladder meridian acupoints was higher than that in no-acupoints (P<0.01); (3) the oxygen partial pressure in acupoints decreased significantly after injection with EDTA-Na2, compared with injection of either normal sodium or nothing (P<0.01); (4) the oxygen partial pressure in acupoints was higher than that in no-acupoints after EDTA-Na2 injection (P<0.01). Acupuncture could reduce oxygen partial pressure in acupoints by regulating microcirculation and increasing metabolic levels.

  • RESEARCH ARTCILE
    Jianye WU, Chuanyong GUO, Jun LIU, Xuanfu XUAN

    The aim of this study was to explore the expression of integrin-β1 in different stages of hepatic fibrosis and intervention of resveratrol as well as the way by which integrin-β1 promoted hepatic fibrosis. Hepatic fibrosis models of male Sprague Dawley (SD) rats were created and intragastric administration of resveratrol was given in low (40 mg/kg), middle (120 mg/kg) and high (200 mg/kg) dose groups. The expression of integrin-β1, tumor growth factor-β (TGF-β) and tissue inhibitor of metalloproteinase-1 (TIMP-1) in different stages of hepatic fibrosis was detected by using RT-PCR. The expression of hexadecenoic acid (HA) and precollagen III (pc III) was assayed by radioimmunoassay. The expression of integrin-β1, TGF-β and TIMP-1 was determined in each group. Liver function and pathological sections of each group in different stages of hepatic fibrosis was tested to judge the therapeutic efficacy of resveratrol at different doses. The expression of integrin-β1 in normal control group was low and steady and was not increased as the development of hepatic fibrosis, but it is increased in other groups. The expression levels of integrin-β1 in the model control group (0.878±0.03, P<0.01) and low dose group (0.855±0.04, P<0.01) were higher than other groups, but there was no difference between model control group and low dose group (P>0.05). The expression levels of integrin-β1 and TGF-β in middle dose group and high dose group were higher than other groups (P<0.01). The expression levels of integrin-β1 and TGF-β in model control group and low dose group were lower than the normal control group (P<0.01). The expression levels of TIMP-1 in the model control and low dose groups were higher than the other groups (P<0.01). The expression levels of TIMP-1 in the middle dose group and the high dose group were lower than the normal control group (P<0.01). The expression of integrin-β1 existed in all stages of hepatic fibrosis of SD rats, and it was increased as the development of hepatic fibrosis. The expression of TGF-β and TIMP-1 was consistent with that of integrin-β1 in different stages of hepatic fibrosis. Resveratrol could improve the degree of hepatic fibrosis of SD rats and decrease the expression of integrin-β1 markedly at a dose of 120 mg/kg.

  • RESEARCH ARTICLE
    Jianwen REN, Zhenhui PENG, Birong GUO, Min PAN

    This study aimed to investigate the effects of celecoxib, synthetic retinoid 6-[3-(1-adamantyl)-4-hydroxyphenyl]-2-naphthalenecarboxylic acid (CD437) and the combination of the two on cell proliferation, apoptosis, and cycle arrest of human malignant melanoma A375 cells. 3-(4,5-dimethylthiazol-2-yl)-2,5-di-phenyltetrazoliumbromide assay (MTT assay) was applied to determine the anti-proliferative effects of the drugs on human malignant melanoma A375 cells. Flow cytometry was performed to investigate the influence of the drugs on cell cycle and cell apoptosis. Both celecoxib and CD437 could inhibit the growth of human malignant melanoma A375 cells in a dose-dependent manner. Celecoxib at 80 μmol/L inhibited proliferation, induced apoptosis and G2/M cell cycle arrest of human malignant melanoma A375 cells after treatment for 24 h [proliferation inhibiting rate: (50.2±2.51)%, apoptosis rate: (35.91±1.80)%]. CD437 at 10 μmol/L inhibited proliferation, induced apoptosis and G0/G1 cell cycle arrest of human malignant melanoma A375 cells after treatment for 24 h [proliferation inhibiting rate: (58.6±2.38)%, apoptosis rate: (28.03±0.77)%]. Celecoxib in combination with CD437 could significantly enhance the effects of inhibiting proliferation and inducing apoptosis of human malignant melanoma A375 cells 24 h after treatment compared with the drug alone [proliferation inhibiting rate: (68.92±1.72)%, apoptosis rate: (42.09±1.05)%, both P<0.05] and could decrease the proportion of the S phase in the cell cycle. Celecoxib could inhibit the growth of human malignant melanoma A375 cells by inducing apoptosis and G2/M cycle arrest. CD437 could inhibit the growth of human malignant melanoma A375 cells by inducing apoptosis and G0/G1 cycle arrest. Celecoxib exhibited additive effects with CD437 on retarding the growth and inducing apoptosis of human malignant melanoma A375 cells. Celecoxib in combination with CD437 may become an effective method for prevention and treatment of human melanoma.

  • RESEARCH ARTICLE
    Nan XIANG, Weikun HU, Jing YUAN, Guigang LI, Haixia LIU

    The lacrimal endoscope is applied to the diagnosis and therapy of the disorders of the lacrimal system in combination with laser or micro drills under orthophoria. The changes of mucous membranes, the characteristics of pathological changes and the predilection sites of lacrimal system diseases were initially approached. One hundred and forty six pairs of eyes of 128 patients with lacrimal system disease were observed by the lacrimal endoscope in the Ophthalmology Department of Tongji Hospital from June 2006 to March 2007. The dynamic changes in mucous membranes, lesion sites, secreted substances and formation of membrane could be observed under orthophoria. Combined with laser or micro drill, the endoscope was applied to the therapy of lacrimal system disorders and the difference before and after the treatment was observed. Results are as follows: (1) The examination and therapy using the lacrimal endoscope were completed under topical anesthesia in 122 patients, and 6 patients of neonatorum dacryocystitis were examined and treated under general anaesthesia. All patients reported painless. (2) Sharp images of the lacrimal system were obtained by the endoscope. Normal lacrimal mucosal membrane was smooth and light pink, expanded and unobstructed during irrigation. In chronic dacryocystitis patients, the inhomogeneous colour of mucosal membranes was red and white, with different degrees of fibrotic membranes at the superior, middle and inferior parts of the nasolacrimal canals and secreted substances at sac could be observed. The lacrimal ducts could not be expanded and obstructed during irrigation. The patients with lacrimal system obstruction had different extents of membrane formation, and stenosis or complete obstruction of the lacrimal duct could be observed, and the corresponding mucosal membrane was not smooth which could not be expanded and obstructed during irrigation. (3) After the treatment by the endoscope combined with laser or micro drill, the major proliferation of the membrane disappeared and the lacrimal duct was unobstructed during irrigation. The cure rate and effective rate were 80.1% and 93.1%, respectively. The lacrimal endoscope is a new method in the diagnosis of lacrimal system diseases. Through a combination with laser or micro drill to carry out the therapy under orthophoria, it will bring a great change to the diagnosis and therapy of lacrimal system diseases.