2021-06-18 2021, Volume 15 Issue 3
  • Select all
  • REVIEW
    Qian Xu, Yuting Tang, Gang Huang

    RNA viruses cause a multitude of human diseases, including several pandemic events in the past century. Upon viral invasion, the innate immune system responds rapidly and plays a key role in activating the adaptive immune system. In the innate immune system, the interactions between pathogen-associated molecular patterns and host pattern recognition receptors activate multiple signaling pathways in immune cells and induce the production of pro-inflammatory cytokines and interferons to elicit antiviral responses. Macrophages, dendritic cells, and natural killer cells are the principal innate immune components that exert antiviral activities. In this review, the current understanding of innate immunity contributing to the restriction of RNA viral infections was briefly summarized. Besides the main role of immune cells in combating viral infection, the intercellular transfer of pathogen and host-derived materials and their epigenetic and metabolic interactions associated with innate immunity was discussed. This knowledge provides an enhanced understanding of the innate immune response to RNA viral infections in general and aids in the preparation for the existing and next emerging viral infections.

  • REVIEW
    Jianfeng Li, Yuting Dai, Liang Wu, Ming Zhang, Wen Ouyang, Jinyan Huang, Saijuan Chen

    B-cell precursor acute lymphoblastic leukemia (BCP-ALL) is characterized by genetic alterations with high heterogeneity. Precise subtypes with distinct genomic and/or gene expression patterns have been recently revealed using high-throughput sequencing technology. Most of these profiles are associated with recurrent non-overlapping rearrangements or hotspot point mutations that are analogous to the established subtypes, such as DUX4 rearrangements, MEF2D rearrangements, ZNF384/ZNF362 rearrangements, NUTM1 rearrangements, BCL2/MYC and/or BCL6 rearrangements, ETV6-RUNX1-like gene expression, PAX5alt (diverse PAX5 alterations, including rearrangements, intragenic amplifications, or mutations), and hotspot mutations PAX5 (p.Pro80Arg) with biallelic PAX5 alterations, IKZF1 (p.Asn159Tyr), and ZEB2 (p.His1038Arg). These molecular subtypes could be classified by gene expression patterns with RNA-seq technology. Refined molecular classification greatly improved the treatment strategy. Multiagent therapy regimens, including target inhibitors (e.g., imatinib), immunomodulators, monoclonal antibodies, and chimeric antigen receptor T-cell (CAR-T) therapy, are transforming the clinical practice from chemotherapy drugs to personalized medicine in the field of risk-directed disease management. We provide an update on our knowledge of emerging molecular subtypes and therapeutic targets in BCP-ALL.

  • REVIEW
    Jianping Ye

    Obesity increases the risk of type 2 diabetes through the induction of insulin resistance. The mechanism of insulin resistance has been extensively investigated for more than 60 years, but the essential pathogenic signal remains missing. Existing hypotheses include inflammation, mitochondrial dysfunction, hyperinsulinemia, hyperglucagonemia, glucotoxicity, and lipotoxicity. Drug discoveries based on these hypotheses are unsuccessful in the development of new medicines. In this review, multidisciplinary literature is integrated to evaluate ATP as a primary signal for insulin resistance. The ATP production is elevated in insulin-sensitive cells under obese conditions independent of energy demand, which we have named “mitochondrial overheating.” Overheating occurs because of substrate oversupply to mitochondria, leading to extra ATP production. The ATP overproduction contributes to the systemic insulin resistance through several mechanisms, such as inhibition of AMPK, induction of mTOR, hyperinsulinemia, hyperglucagonemia, and mitochondrial dysfunction. Insulin resistance represents a feedback regulation of energy oversupply in cells to control mitochondrial overloading by substrates. Insulin resistance cuts down the substrate uptake to attenuate mitochondrial overloading. The downregulation of the mitochondrial overloading by medicines, bypass surgeries, calorie restriction, and physical exercise leads to insulin sensitization in patients. Therefore, ATP may represent the primary signal of insulin resistance in the cellular protective response to the substrate oversupply. The prevention of ATP overproduction represents a key strategy for insulin sensitization.

  • REVIEW
    Lei Lv, Qunying Lei

    Cancer development is a complicated process controlled by the interplay of multiple signaling pathways and restrained by oxygen and nutrient accessibility in the tumor microenvironment. High plasticity in using diverse nutrients to adapt to metabolic stress is one of the hallmarks of cancer cells. To respond to nutrient stress and to meet the requirements for rapid cell proliferation, cancer cells reprogram metabolic pathways to take up more glucose and coordinate the production of energy and intermediates for biosynthesis. Such actions involve gene expression and activity regulation by the moonlighting function of oncoproteins and metabolic enzymes. The signalmoonlighting proteinmetabolism axis facilitates the adaptation of tumor cells under varying environment conditions and can be therapeutically targeted for cancer treatment.

  • REVIEW
    Weibao Song, Hongjuan Zhang, Yu Zhang, Rui Li, Yanxing Han, Yuan Lin, Jiandong Jiang

    Zika virus (ZIKV) is an emerging pathogen associated with neurological complications, such as Guillain–Barré syndrome in adults and microcephaly in fetuses and newborns. This mosquito-borne flavivirus causes important social and sanitary problems owing to its rapid dissemination. However, the development of antivirals against ZIKV is lagging. Although various strategies have been used to study anti-ZIKV agents, approved drugs or vaccines for the treatment (or prevention) of ZIKV infections are currently unavailable. Repurposing clinically approved drugs could be an effective approach to quickly respond to an emergency outbreak of ZIKV infections. The well-established safety profiles and optimal dosage of these clinically approved drugs could provide an economical, safe, and efficacious approach to address ZIKV infections. This review focuses on the recent research and development of agents against ZIKV infection by repurposing clinical drugs. Their characteristics, targets, and potential use in anti-ZIKV therapy are presented. This review provides an update and some successful strategies in the search for anti-ZIKV agents are given.

  • REVIEW
    Xu Yu Jin, Mario Petrou, Jiang Ting Hu, Ed D Nicol, John R Pepper

    Over the last half century, surgical aortic valve replacement (SAVR) has evolved to offer a durable and efficient valve haemodynamically, with low procedural complications that allows favourable remodelling of left ventricular (LV) structure and function. The latter has become more challenging among elderly patients, particularly following trans-catheter aortic valve implantation (TAVI). Precise understanding of myocardial adaptation to pressure and volume overloading and its responses to valve surgery requires comprehensive assessments from aortic valve energy loss, valvular-vascular impedance to myocardial activation, force-velocity relationship, and myocardial strain. LV hypertrophy and myocardial fibrosis remains as the structural and morphological focus in this endeavour. Early intervention in asymptomatic aortic stenosis or regurgitation along with individualised management of hypertension and atrial fibrillation is likely to improve patient outcome. Physiological pacing via the His-Purkinje system for conduction abnormalities, further reduction in para-valvular aortic regurgitation along with therapy of angiotensin receptor blockade will improve patient outcome by facilitating hypertrophy regression, LV coordinate contraction, and global vascular function. TAVI leaflet thromboses require anticoagulation while impaired access to coronary ostia risks future TAVI-in-TAVI or coronary interventions. Until comparable long-term durability and the resolution of TAVI related complications become available, SAVR remains the first choice for lower risk younger patients.

  • RESEARCH ARTICLE
    Yanghui Chen, Yang Sun, Zongzhe Li, Chenze Li, Lei Xiao, Jiaqi Dai, Shiyang Li, Hao Liu, Dong Hu, Dongyang Wu, Senlin Hu, Bo Yu, Peng Chen, Ping Xu, Wei Kong, Dao Wen Wang

    Thoracic aortic dissection (TAD) without familial clustering or syndromic features is known as sporadic TAD (STAD). So far, the genetic basis of STAD remains unknown. Whole exome sequencing was performed in 223 STAD patients and 414 healthy controls from the Chinese Han population (N = 637). After population structure and genetic relationship and ancestry analyses, we used the optimal sequence kernel association test to identify the candidate genes or variants of STAD. We found that COL3A1 was significantly relevant to STAD (P = 7.35 × 10−6) after 10 000 times permutation test (P = 2.49 × 10−3). Moreover, another independent cohort, including 423 cases and 734 non-STAD subjects (N = 1157), replicated our results (P = 0.021). Further bioinformatics analysis showed that COL3A1 was highly expressed in dissected aortic tissues, and its expression was related to the extracellular matrix (ECM) pathway. Our study identified a profile of known heritable TAD genes in the Chinese STAD population and found that COL3A1 could increase the risk of STAD through the ECM pathway. We wanted to expand the knowledge of the genetic basis and pathology of STAD, which may further help in providing better genetic counseling to the patients.

  • RESEARCH ARTICLE
    Jiahui Zhang, Yanan Yin, Jiahui Wang, Jingjing Zhang, Hua Liu, Weiwei Feng, Wen Yang, Bruce Zetter, Yingjie Xu

    The ability of tumor cells to sustain continuous proliferation is one of the major characteristics of cancer. The activation of oncogenes and the mutation or inactivation of tumor suppressor genes ensure the rapid proliferation of tumor cells. The PI3K--Akt--mTOR axis is one of the most frequently modified signaling pathways whose activation sustains cancer growth. Unsurprisingly, it is also one of the most commonly attempted targets for cancer therapy. FK506 binding protein 8 (FKBP8) is an intrinsic inhibitor of mTOR kinase that also exerts an anti-apoptotic function. We aimed to explain these contradictory aspects of FKBP8 in cancer by identifying a “switch” type regulator. We identified through immunoprecipitation--mass spectrometry-based proteomic analysis that the mitochondrial protein prohibitin 1 (PHB1) specifically interacts with FKBP8. Furthermore, the downregulation of PHB1 inhibited the proliferation of ovarian cancer cells and the mTOR signaling pathway, whereas the FKBP8 level in the mitochondria was substantially reduced. Moreover, concomitant with these changes, the interaction between FKBP8 and mTOR substantially increased in the absence of PHB1. Collectively, our finding highlights PHB1 as a potential regulator of FKBP8 because of its subcellular localization and mTOR regulating role.

  • RESEARCH ARTICLE
    Lingli Cai, Jun Yin, Xiaojing Ma, Yifei Mo, Cheng Li, Wei Lu, Yuqian Bao, Jian Zhou, Weiping Jia

    Lifestyle interventions, including dietary adjustments and exercise, are important for obesity management. This study enrolled adults with overweight or obesity to explore whether either low-carbohydrate diet (LCD) or exercise is more effective in metabolism improvement. Forty-five eligible subjects were randomly divided into an LCD group (n=22) and an exercise group (EX, n=23). The subjects either adopted LCD (carbohydrate intake<50 g/day) or performed moderate-to-vigorous exercise (≥30 min/day) for 3 weeks. After the interventions, LCD led to a larger weight loss than EX (−3.56±0.37 kg vs. −1.24±0.39 kg, P<0.001), as well as a larger reduction in fat mass (−2.10±0.18 kg vs. −1.25±0.24 kg, P=0.007) and waist circumference (−5.25±0.52 cm vs. −3.45±0.38 cm, P=0.008). Both interventions reduced visceral and subcutaneous fat and improved liver steatosis and insulin resistance. Triglycerides decreased in both two groups, whereas low-density lipoprotein cholesterol increased in the LCD group but decreased in the EX group. Various glycemic parameters, including serum glycated albumin, mean sensor glucose, coefficient of variability (CV), and largest amplitude of glycemic excursions, substantially declined in the LCD group. Only CV slightly decreased after exercise. This pilot study suggested that the effects of LCD and exercise are similar in alleviating liver steatosis and insulin resistance. Compared with exercise, LCD might be more efficient for weight loss and glucose homeostasis in people with obesity.

  • RESEARCH ARTICLE
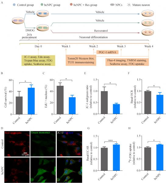
    Yao Yao, Rui Zhou, Rui Bai, Jing Wang, Mengjiao Tu, Jingjing Shi, Xiao He, Jinyun Zhou, Liu Feng, Yuanxue Gao, Fahuan Song, Feng Lan, Xingguo Liu, Mei Tian, Hong Zhang

    Hypoxia conditioning could increase the survival of transplanted neuronal progenitor cells (NPCs) in rats with cerebral ischemia but could also hinder neuronal differentiation partly by suppressing mitochondrial metabolism. In this work, the mitochondrial metabolism of hypoxia-conditioned NPCs (hcNPCs) was upregulated via the additional administration of resveratrol, an herbal compound, to resolve the limitation of hypoxia conditioning on neuronal differentiation. Resveratrol was first applied during the in vitro neuronal differentiation of hcNPCs and concurrently promoted the differentiation, synaptogenesis, and functional development of neurons derived from hcNPCs and restored the mitochondrial metabolism. Furthermore, this herbal compound was used as an adjuvant during hcNPC transplantation in a photothrombotic stroke rat model. Resveratrol promoted neuronal differentiation and increased the long-term survival of transplanted hcNPCs. 18-fluorine fluorodeoxyglucose positron emission tomography and rotarod test showed that resveratrol and hcNPC transplantation synergistically improved the neurological and metabolic recovery of stroke rats. In conclusion, resveratrol promoted the neuronal differentiation and therapeutic efficiency of hcNPCs in stroke rats via restoring mitochondrial metabolism. This work suggested a novel approach to promote the clinical translation of NPC transplantation therapy.

  • RESEARCH ARTICLE
    Dongsheng Wang, Binqing Fu, Zhen Peng, Dongliang Yang, Mingfeng Han, Min Li, Yun Yang, Tianjun Yang, Liangye Sun, Wei Li, Wei Shi, Xin Yao, Yan Ma, Fei Xu, Xiaojing Wang, Jun Chen, Daqing Xia, Yubei Sun, Lin Dong, Jumei Wang, Xiaoyu Zhu, Min Zhang, Yonggang Zhou, Aijun Pan, Xiaowen Hu, Xiaodong Mei, Haiming Wei, Xiaoling Xu

    Tocilizumab has been reported to attenuate the “cytokine storm” in COVID-19 patients. We attempted to verify the effectiveness and safety of tocilizumab therapy in COVID-19 and identify patients most likely to benefit from this treatment. We conducted a randomized, controlled, open-label multicenter trial among COVID-19 patients. The patients were randomly assigned in a 1:1 ratio to receive either tocilizumab in addition to standard care or standard care alone. The cure rate, changes of oxygen saturation and interference, and inflammation biomarkers were observed. Thirty-three patients were randomized to the tocilizumab group, and 32 patients to the control group. The cure rate in the tocilizumab group was higher than that in the control group, but the difference was not statistically significant (94.12% vs. 87.10%, rate difference 95% CI −7.19%–21.23%, P = 0.4133). The improvement in hypoxia for the tocilizumab group was higher from day 4 onward and statistically significant from day 12 (P = 0.0359). In moderate disease patients with bilateral pulmonary lesions, the hypoxia ameliorated earlier after tocilizumab treatment, and less patients (1/12, 8.33%) needed an increase of inhaled oxygen concentration compared with the controls (4/6, 66.67%; rate difference 95% CI −99.17% to −17.50%, P = 0.0217). No severe adverse events occurred. More mild temporary adverse events were recorded in tocilizumab recipients (20/34, 58.82%) than the controls (4/31, 12.90%). Tocilizumab can improve hypoxia without unacceptable side effect profile and significant influences on the time virus load becomes negative. For patients with bilateral pulmonary lesions and elevated IL-6 levels, tocilizumab could be recommended to improve outcome.

  • RESEARCH ARTICLE
    Ling Dai, Xiang Gao, Zhihua Ye, Hanmin Li, Xin Yao, Dingbo Lu, Na Wu

    On the basis of real-world clinical data, the study aimed to explore the effect and mechanisms of the treatment plan of “traditional Chinese medicine (TCM) regulating liver regeneration.” A total of 457 patients with HBV-related liver failure were retrospectively collected. The patients were divided into three groups: the modern medicine control group (MMC group), patients treated with routine medical treatment; the control group combining traditional Chinese and Western medicine (CTW), patients treated with routine medical treatment plus the common TCM formula; and the treatment group of “TCM regulating liver regeneration” (RLR), patients treated with both routine medical treatment and the special TCM formula of RLR. After 8 weeks of treatment, the mortality of patients in the RLR group (12.31%) was significantly lower than those in the MMC (50%) and CTW (29.11%) groups. Total bilirubin level significantly decreased and albumin increased in the RLR group when compared with the MMC and CTW groups (P<0.05). In addition, there were significant differences in the expression of several cytokines related to liver regeneration in the RLR group compared with the MMC group. RLR treatment can decrease jaundice, improve liver function, and significantly reduce the mortality in patients with HBV-related liver failure. The mechanism may be related to the role of RLR treatment in influencing cytokines related to liver regeneration.