2011-12-05 2011, Volume 5 Issue 4
  • Select all
  • MINI-REVIEW
    Sowmya Viswanathan, Armand Keating

    Cell therapy holds promise in addressing a number of unmet medical needs but despite its considerable impetus, faces numerous challenges including support for translational research in this area. Here, we examine the challenges confronting cell therapy research including the limited funding available for translational research partly due to the uncompetitive nature of required validation studies in cell therapy that of necessity are not hypothesis-driven. Other issues include lack of standardization of definitions of cell products, uncertainty regarding optimum preclinical animal models, duplication of efforts to secure regulatory approval and a lack of uniformity of nomenclature for some cell products. Nonetheless, several initiatives to address all of these issues are underway.

  • MINI-REVIEW
    Wei Zhuo, Yang Chen, Xiaomin Song, Yongzhang Luo

    Endostatin, a 20 kDa C-terminal fragment of collagen XVIII, was first identified as a potent angiogenic inhibitor. The anti-angiogenic function of endostatin has been well documented during the past decade. Recently, several studies demonstrated that endostatin also inhibits tumor lymphangiogenesis and lymphatic metastasis. However, the exact mechanism that endostatin executes its anti-angiogenic and anti-lymphangiogenic functions remains elusive. In the current mini-review, we briefly summarize recent novel findings, including the functions of endostatin targeting not only angiogenesis but also lymphangiogenesis, and the underlying mechanism by which endostatin internalization regulates its biological functions.

  • REVIEW
    Jianqing Mi

    Acute promyelocytic leukemia (APL) is a unique subtype of acute myeloid leukemia (AML). The prognosis of APL has changed from the worst among the AMLs to currently the best. The application of all-trans retinoic acid (ATRA) in the induction therapy of APL decreases the high mortality of newly diagnosed patients, thereby significantly improving the response rate. ATRA combined with anthracycline-based chemotherapy is the current standard treatment, and for high-risk patients, high doses cytarabine have a beneficial effect on relapse prevention. In recent years, the indications of arsenic trioxide (ATO) therapy for APL have been extended from the salvage therapy for relapse patients to the first-line treatment of de novo APL. The introduction of both ATRA and ATO represents great achievements in translational medicine. In this review article, we discuss the therapeutic strategies for this disease, including the initial approaches to newly diagnosed patients, prevention, and treatment of side effects and relapse to ensure the best and timely treatment for each newly diagnosed APL patient.

  • REVIEW
    Douglas Sipp

    Research into the biological properties and clinical potential of stem cells has spurred strong public investment, industry development, media coverage, and patient interest in recent years. To date, however, few clinical applications of demonstrated safety and efficacy have been developed with the exception of uses of hematopoietic stem cells in the treatment of diseases of the blood and immune systems. This lack of an evidence basis notwithstanding, hundreds of companies and private clinics around the world now sell putative stem cell treatments for an enormously broad range of medical and quality-of-life conditions. This represents a major challenge for legitimate scientists working in the field, for authorities seeking to protect their constituencies, and for patients and consumers targeted by such companies’ marketing strategies. In this review, I provide an overview of the global industry in pseudomedical stem cell treatments, with an investigation of claims in a single disease area (amyotrophic lateral sclerosis), and make recommendations for the introduction and enforcement of appropriate regulatory responses to this problem.

  • REVIEW
    Chuanfeng Wu, Cynthia E. Dunbar

    Virus-based vectors are widely used in hematopoietic stem cell (HSC) gene therapy, and have the ability to integrate permanently into genomic DNA, thus driving long-term expression of corrective genes in all hematopoietic lineages. To date, HSC gene therapy has been successfully employed in the clinic for improving clinical outcomes in small numbers of patients with X-linked severe combined immunodeficiency (SCID-X1), adenosine deaminase deficiency (ADA-SCID), adrenoleukodystrophy (ALD), thalassemia, chronic granulomatous disease (CGD), and Wiskott-Aldrich syndrome (WAS). However, adverse events were observed during some of these HSC gene therapy clinical trials, linked to insertional activation of proto-oncogenes by integrated proviral vectors leading to clonal expansion and eventual development of leukemia. Numerous studies have been performed to understand the molecular basis of vector-mediated genotoxicity, with the aim of developing safer vectors and lower-risk gene therapy protocols. This review will summarize current information on the mechanisms of insertional mutagenesis in hematopoietic stem and progenitor cells due to integrating gene transfer vectors, discuss the available assays for predicting genotoxicity and mapping vector integration sites, and introduce newly-developed approaches for minimizing genotoxicity as a way to further move HSC gene therapy forward into broader clinical application.

  • REVIEW
    Shihua Wang, Xuebin Qu, Robert Chunhua Zhao

    Regenerative medicine is an emerging interdisciplinary field of research that uses several technological approaches including stem cells to repair tissues. Mesenchymal stem cells (MSCs), a type of adult stem cell, have generated a great amount of interest over the past decade in this field. Numerous studies have explored the role of MSCs in tissue repair and modulation of allogeneic immune responses. The mechanisms through which MSCs exert their therapeutic potential rely on some key properties of the cells as follows: the capacity to differentiate into osteoblasts, chondrocytes, adipocytes, cardiomyocytes, hepatocytes, endothelial, and neuronal cells; the ability to secrete multiple bioactive molecules capable of stimulating the recovery of injured cells and inhibiting inflammation; the lack of immunogenicity; and the ability to perform immunomodulatory functions. In the present review, we focus on these three aspects upon which the therapeutic effects of MSCs are mainly based. Furthermore, some pathological conditions under which the application of MSCs should be done with caution are also mentioned.

  • REVIEW
    Liangqian Tong, Ming Zhao, Shu Zhu, Jing Chen

    Superparamagnetic iron oxide (SPIO) nanoparticles have become a popular strategy of cancer treatment and molecular imaging because of their versatile properties and biocompatibility. A variety of studies have shown the exciting potential of functionalized SPIO nanoparticles, such as surface-coated, targeted ligand-conjugated, and/or drug-loaded SPIO nanoparticles, as powerful tools for targeted imaging and therapy. Moreover, the applications of SPIO nanoparticles that integrate diagnosis and therapy in SPIO nanoparticles facilitate the monitoring of therapeutic efficacy during treatment. In the present review, we primarily concentrate on the recent advancements in the field of SPIO nanoparticles in terms of synthesis, targeted therapy, and cancer imaging.

  • REVIEW
    Jia Wei, Jiexiong Feng

    Laparoscopic liver surgery has been increasingly used for the treatment of pediatric liver diseases over the past decade due to the development of special laparoscopic instruments and improvements in the technique. A number of factors are considered when electing to undergo the surgical process, including age, type of liver disease, and so on. Especially in children with liver masses, the number of trocars used and the position of their placement must be carefully designed to achieve successful outcomes. In the current review, the application of various laparoscopic instruments and the methods used for the laparoscopic treatment of liver diseases in children over the past decade are summarized.

  • REVIEW
    Yaling Han, Kai Xu, Chenghui Yan

    Although first-generation drug-eluting stents (DES) have markedly reduced restenosis, complications of late and very late in-stent thrombosis have emerged as prime limitations to this technology. The development of new DES is a key process to prevent these complications. Translational research plays a very important role in experiments which determine the safety and efficacy of DES before human clinical trials. The present review focuses on translational research of novel DES, including drug discovery, creation of preclinical research models, planning and conducting of first-in-man studies, and developing next-generation DES systems.

  • REVIEW
    Zhiyuan Zhang

    Clinical imperatives for the reconstruction of jaw bone defects or resorbed alveolar ridge require new therapies or procedures instead of autologous/allogeneic bone grafts. Regenerative medicine, based on stem cell science and tissue engineering technology, is considered as an ideal alternative strategy for bone regeneration. In this paper, we review the current choices of cell source and strategies on directing the osteogenic differentiation of stem cells. The preclinical animal models for bone regeneration and the key translational points to clinical success in oral and maxillofacial region are also discussed. We propose comprehensive strategies based on stem cell and tissue engineering researches, allowing for clinical application in oral and maxillofacial region.

  • REVIEW
    Zhuying Xia, Chao Chen, Peng Chen, Hui Xie, Xianghang Luo

    Osteoclasts, which are derived from monocyte-macrophage precursors, are exclusive bone resorption cells. Limited evidence indicates that a class of small non-coding single-stranded RNAs known as “microRNAs” (miRNAs) is also involved in bone resorption. Although various miRNAs regulate cell proliferation and differentiation, few miRNAs have been reported to play a key role in the regulation of osteoclast differentiation. In this short review, the biology and functional mechanisms of miRNAs in osteoclastogenesis are summarized. The profiling, function, and target prediction of miRNAs are discussed as well.

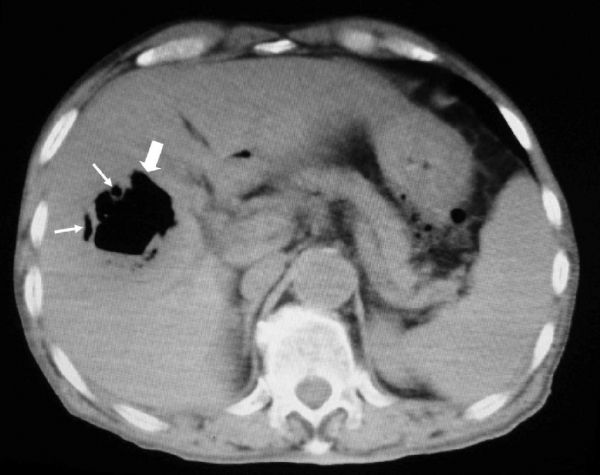
  • CASE REPORT
    Kai Qu, Chang Liu, Aasef M A Mansoor, Bo Wang, Jincai Chen, Liang Yu, Yi Lv

    Locally advanced colorectal cancer complicated with adjacent organic invasion may remain confined to the local area with minimal metastasis. In the present paper, we report on a patient with advanced right colon cancer, including liver, gallbladder, and duodenal invasion behind the scene of liver abscess. En bloc resection was performed on the patient, with right-hemicolectomy, cholecystectomy, partial duodental resection, and hepatectomy. Postoperative management was administered, including nutritional support in the early postoperative period, effective anti-infection treatment, and adjuvant chemotherapy (FOLFOX4). The patient survived for 16 months after the operation. Common clinical manifestations of colorectal cancer were digestive symptoms and changes in defecation. However, the clinical manifestation of locally advanced colon cancer was extremely complicated. Extended or multivisceral resection may offer patients a chance to survive an acute crisis and allow for treatment with adjuvant therapy.