Sequential development of three syndromes in a patient with m.3243A>G mutation: a case report

Guoling Zeng , Rongpei Liu , Xiaotian Li , Zhaoqi Lv , Lei Cui , Xiong Zhang , Jianyong Wang

Front. Med. ›› 2025, Vol. 19 ›› Issue (6) : 1302 -1306.

PDF (968KB)
Front. Med. ›› 2025, Vol. 19 ›› Issue (6) :1302 -1306. DOI: 10.1007/s11684-025-1186-7
CASE REPORT

Sequential development of three syndromes in a patient with m.3243A>G mutation: a case report

Author information +
History +
PDF (968KB)

Abstract

Mitochondrial disorders are highly heterogeneous and can manifest as a spectrum of clinically heterogeneous disorders that affect multiple organ systems. Herein, we report a Chinese female patient carrying mitochondrial DNA m.3243A>G mutation who sequentially experienced myoclonic epilepsy with ragged red fibers, mitochondrial neurogastrointestinal encephalomyopathy, and mitochondrial encephalomyopathy with lactic acidosis and stroke-like episodes. This report expands the current understanding of phenotypic heterogeneity in mitochondrial disorders.

Keywords

mitochondrial disorders / m.3243A>G / myoclonic epilepsy with ragged red fibers (MERRF) / mitochondrial neurogastrointestinal encephalomyopathy (MNGIE) / mitochondrial encephalomyopathy with lactic acidosis and stroke-like episodes (MELAS)

Cite this article

Download citation ▾
Guoling Zeng, Rongpei Liu, Xiaotian Li, Zhaoqi Lv, Lei Cui, Xiong Zhang, Jianyong Wang. Sequential development of three syndromes in a patient with m.3243A>G mutation: a case report. Front. Med., 2025, 19(6): 1302-1306 DOI:10.1007/s11684-025-1186-7

登录浏览全文

4963

注册一个新账户 忘记密码

1 Introduction

Mitochondria serve as the dominant energy-generating organelles in eukaryotes. Mitochondrial dysfunction leads to a spectrum of clinically heterogeneous disorders that affect multiple organ systems, including the nervous and muscular systems [1,2]. Both nuclear and mitochondrial DNA are responsible for encoding mitochondrial components. The mitochondrial DNA 3243A>G mutation (m.3243A>G) is the most common disease-causing mitochondrial DNA mutation, which is a common cause of mitochondrial encephalomyopathy with lactic acidosis and stroke-like episodes (MELAS) [3]. However, the same mutation may also lead to other distinct syndromes, such as maternally inherited deafness and diabetes (MIDD) and myoclonic epilepsy with ragged red fibers (MERRF), and may even lead to overlapping syndromes [3,4].

Mitochondrial neurogastrointestinal encephalomyopathy (MNGIE) is a rare autosomal recessive disease caused by TYMP mutations that impair mitochondrial DNA homeostasis [5]. MNGIE affects multiple systems, primarily manifesting as gastrointestinal and neurological symptoms. It has been reported that the m.3243A>G mutation may also manifest with MNGIE [6].

The phenotypic variability of the same mutation, which can lead to different syndromes, frequently poses challenges in patient diagnosis and management. Herein, we present a case of a patient with the m.3243A>G mutation who sequentially developed MERRF, MNGIE, and MELAS episodes. It has not been reported before.

2 Case presentation

The patient was a 23-year-old Chinese woman who was admitted to the Second Affiliated Hospital of Wenzhou Medical University due to recurrent episodes of unconsciousness accompanied by generalized convulsions lasting for 5 hours. Her medical history was unremarkable. Her grandparents and parents had no similar medical conditions.

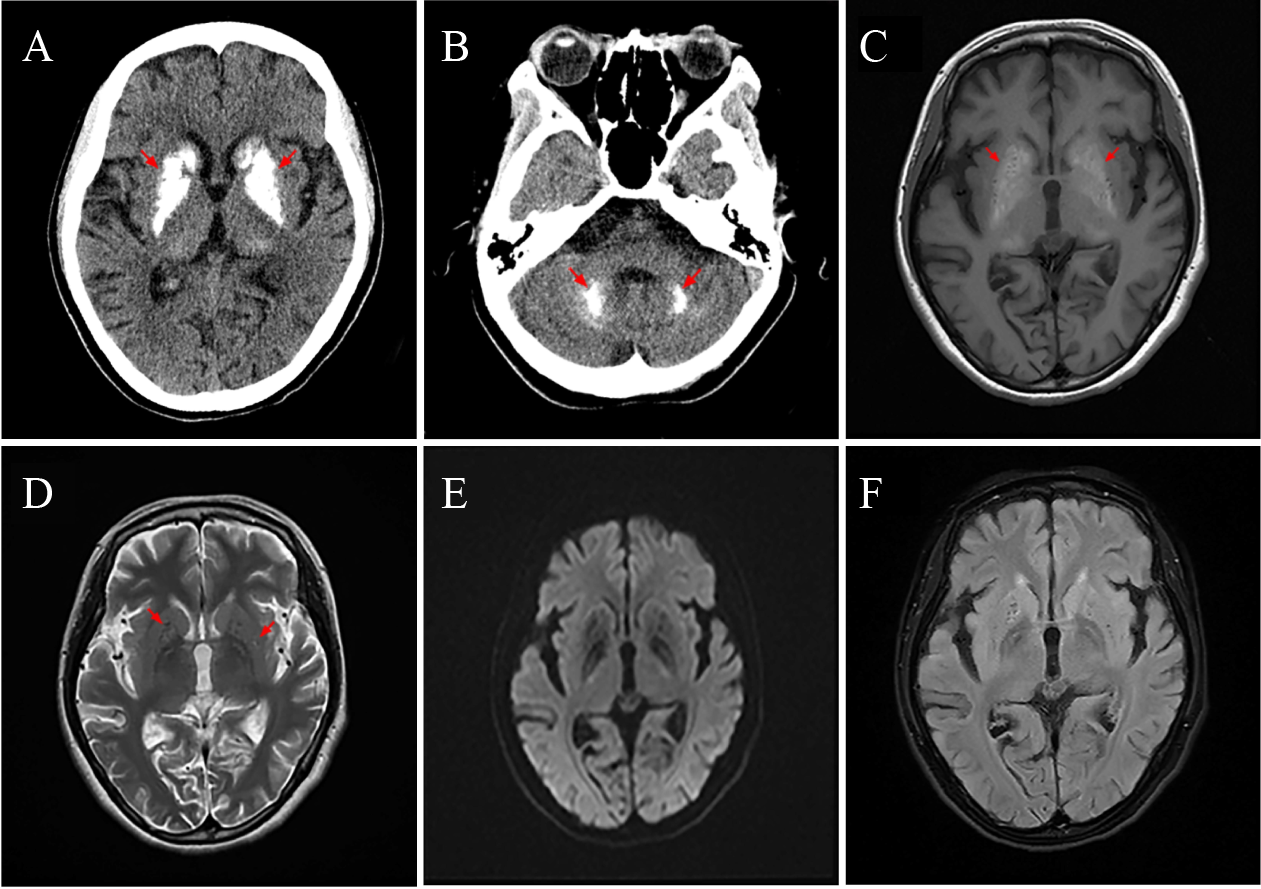
In the emergency department, the patient’s convulsive state was alleviated through intravenous infusion of valproate. She was in a fragile condition with a temperature of 37.7 °C, heart rate of 111 bpm, and blood pressure of 105/69 mmHg. No abnormal signs were detected on the neurological examination. Blood tests showed elevated C-reactive protein level (52.8 mg/L, reference interval: 0–6 mg/L), leukocyte count (24.91 × 109/L, reference interval: 3.5 × 109/L–9.5 × 109/L), neutrophil count (22.22 × 109/L, reference interval: 1.8 × 109/L–6.3 × 109/L), lactate level (2.56 mmol/L, reference interval: 0.5–2.2 mmol/L), and creatinine kinase level (256 IU/L, reference interval: 40–200 IU/L). Liver function, kidney function, thyroid function, and parathyroid hormone levels were within the normal range. Chest computed tomography (CT) revealed bilateral pulmonary infections. Brain CT demonstrated calcifications involving the bilateral basal ganglia, thalamus, and dentate nuclei of cerebellum (Fig. 1A and 1B), with subsequent magnetic resonance imaging (MRI) corroborating these findings (Fig. 1C–1F). The electroencephalography demonstrated occasional spike-and-wave discharges predominantly over the bifrontal and anterior-midtemporal areas (Fig. S1). Exome sequencing did not detect any pathogenic variants, while mitochondrial DNA analysis by long PCR revealed the m.3243A>G mutation with a heteroplasmy level of 32% in blood. The mutation was confirmed by Sanger sequencing (Fig. 2). Due to the decline in blood heteroplasmy levels with advancing age [7], we further calculated an age-adjusted heteroplasmy level of 72%. Mitochondrial DNA in other tissues was not analyzed due to lack of consent. We diagnosed the patient with MERRF and initiated levetiracetam for seizure control. Coenzyme Q10 and L-arginine were administered to mitigate oxidative stress and improve mitochondrial metabolism. The patient was discharged for outpatient follow-up after symptom resolution.

Eighteen months later, the patient was transferred to our hospital with severe septic shock and multiple organ dysfunction syndrome. Prior to this, the patient had experienced severe abdominal pain, intestinal obstruction, and intestinal infection. Due to the critical condition, the patient was admitted to the intensive care unit (ICU) and received vital function support, fluid resuscitation, and broad-spectrum antibiotics treatment. After one month of treatment, her condition improved. Neurological examination revealed decreased muscle strength (grade 4+/5) and reduced muscle tone in all four limbs. Other neurological signs were unremarkable. Abdominal examination revealed distension with diminished bowel sounds. Abdominal CT scan reveals intestinal dilation with air-fluid levels (Fig. 3A). Brain MRI revealed cerebral atrophy and a lacunar infarction adjacent to the left lateral ventricle (Fig. 3B–3F). Based on her predominant clinical manifestations and mitochondrial gene mutation, the patient was diagnosed with MNGIE [5]. She was discharged from the hospital for follow-up after her intestinal obstruction was relieved, and she continued to supplement coenzyme Q10 and L-arginine to improve mitochondrial metabolism.

Twelve months later, the patient was readmitted due to 2 days of blurred vision. Neurological examination revealed right homonymous hemianopia with intact extraocular movements and pupillary light reflexes. Muscle strength was graded 4+/5 in all four limbs. Other neurological signs are unremarkable. Blood tests showed elevated lactate level (2.69 mmol/L, reference interval: 0.5–2.2 mmol/L). Complete blood count, liver function tests, renal function tests, and electrolytes were all within normal range. Brain MRI showed signals compatible with cerebral infarction in the left occipital lobe (Fig. 4A–4D). Based on the stroke-like episodes, characteristic neuroimaging findings, and mitochondrial DNA mutation [8], we diagnosed her with MELAS and administered intravenous arginine to improve mitochondrial metabolism. After 2 weeks, the patient partially regained her visual field. The patient is currently under regular follow-up with a residual partial visual field deficit.

3 Discussion

Primary mitochondrial disorders are a collection of diseases with extreme phenotypic heterogeneity, involving multiple organs and manifesting as diverse clinical syndromes. These syndromes may present either in isolation or in overlapping combinations, significantly complicating clinical diagnosis and management. MERRF, MNGIE, and MELAS share overlapping clinical features while maintaining distinct characteristics (Table 1) [5,8,9]. Herein, we report a patient carrying m.3243A>G mutation who sequentially experienced MERRF, MNGIE, and MELAS episodes.

The m.3243A>G mutation is located in MT-TL1 gene, which encodes mitochondrial tRNALeu(UUR) [10]. This mutation leads to the mistranslation of leucine codons into non-cognate phenylalanine [11]. However, the precise mechanism from translational dysfunction to disease pathogenesis remains unclear. Studies have shown that the resulting mitochondrial metabolic dysfunction contributes to disease pathogenesis through associated vascular and cellular damage [4,8,12].

Mitochondrial diseases are highly heterogeneous and can manifest as various syndromes. Each syndrome has its own distinct characteristics, while also sharing pathological overlaps among them [13]. The most common syndrome caused by the m.3243A>G mutation is MELAS. Additionally, this mutation may also manifest as diverse clinical syndromes, including MERRF, MIDD, and chronic progressive external ophthalmoplegia (CPEO), among others [3,4,14]. Moreover, these syndromes may present in overlapping combinations, such as MIDD/MELAS overlap syndrome [15] or MNGIE/MELAS overlap syndrome [6]. Our study further demonstrates that patients with mitochondrial disorders may present with distinct clinical syndromes during different stages of disease progression.

Mitochondrial DNA is maternally inherited through oocytes and exists in a state of heteroplasmy within human tissues. The degree of heteroplasmy across different tissues and organs results in diverse clinical manifestations stemming from the same mitochondrial DNA mutation [2,16]. In our patient, the heteroplasmy level of the m.3243A>G mutation was 32% in peripheral blood leukocytes, which does not necessarily reflect uniform levels across all tissues. Clinically, specimens including blood leukocytes, urine, hair follicles, muscle biopsies, oral mucosa, and nail tissues are routinely utilized for detecting mitochondrial DNA mutation. Significant inter-tissue heterogeneity in heteroplasmy levels is consistently observed [4]. Assessment of tissue-specific distribution of heteroplasmy levels provides critical insights into the phenotypic complexity of mitochondrial disorders, though practical challenges persist—particularly regarding inaccessible tissues (e.g., cerebral biopsies) in living patients.

In conclusion, we present a case carrying the m.3243A>G mutation who sequentially developed MERRF, MNGIE, and MELAS syndromes. Our report expands the current understanding of phenotypic heterogeneity in mitochondrial disorders.

References

[1]

Kanungo S , Morton J , Neelakantan M , Ching K , Saeedian J , Goldstein A . Mitochondrial disorders. Ann Transl Med 2018; 6(24): 475

[2]

Ng YS , Bindoff LA , Gorman GS , Klopstock T , Kornblum C , Mancuso M , McFarland R , Sue CM , Suomalainen A , Taylor RW , Thorburn DR , Turnbull DM . Mitochondrial disease in adults: recent advances and future promise. Lancet Neurol 2021; 20(7): 573–584

[3]

Nesbitt V , Pitceathly RD , Turnbull DM , Taylor RW , Sweeney MG , Mudanohwo EE , Rahman S , Hanna MG , McFarland R . The UK MRC Mitochondrial Disease Patient Cohort Study: clinical phenotypes associated with the m.3243A>G mutation–implications for diagnosis and management. J Neurol Neurosurg Psychiatry 2013; 84(8): 936–938

[4]

Li D , Liang C , Zhang T , Marley JL , Zou W , Lian M , Ji D . Pathogenic mitochondrial DNA 3243A>G mutation: from genetics to phenotype. Front Genet 2022; 13: 951185

[5]

Hirano M , Carelli V , De Giorgio R , Pironi L , Accarino A , Cenacchi G , D’Alessandro R , Filosto M , Marti R , Nonino F , Pinna AD , Baldin E , Bax BE , Bolletta A , Bolletta R , Boschetti E , Cescon M , D’Angelo R , Dotti MT , Giordano C , Gramegna LL , Levene M , Lodi R , Mandel H , Morelli MC , Musumeci O , Pugliese A , Scarpelli M , Siniscalchi A , Spinazzola A , Tal G , Torres-Torronteras J , Vignatelli L , Zaidman I , Zoller H , Rinaldi R , Zeviani M . Mitochondrial neurogastrointestinal encephalomyopathy (MNGIE): position paper on diagnosis, prognosis, and treatment by the MNGIE International Network. J Inherit Metab Dis 2021; 44(2): 376–387

[6]

Kuroiwa T , Kuwata T , Nakayama T , Takemura T , Sakuta M , Ichinose S , Goto Y , Okeda R . Mitochondrial encephalomyopathy showing prominent microvacuolation and necrosis of intestinal smooth muscle cells: a case diagnosed by rectal biopsy. Acta Neuropathol 1998; 96(1): 86–90

[7]

Grady JP , Pickett SJ , Ng YS , Alston CL , Blakely EL , Hardy SA , Feeney CL , Bright AA , Schaefer AM , Gorman GS , McNally RJ , Taylor RW , Turnbull DM , McFarland R . mtDNA heteroplasmy level and copy number indicate disease burden in m.3243A>G mitochondrial disease. EMBO Mol Med 2018; 10(6): e8262

[8]

Na JH , Lee YM . Diagnosis and management of mitochondrial encephalopathy, lactic acidosis, and stroke-like episodes syndrome. Biomolecules 2024; 14(12): 1524

[9]

Finsterer J , Zarrouk-Mahjoub S , Shoffner JM . MERRF classification: implications for diagnosis and clinical trials. Pediatr Neurol 2018; 80: 8–23

[10]

Goto Y , Nonaka I , Horai S . A mutation in the tRNALeu(UUR) gene associated with the MELAS subgroup of mitochondrial encephalomyopathies. Nature 1990; 348(6302): 651–653

[11]

Yasukawa T , Suzuki T , Ueda T , Ohta S , Watanabe K . Modification defect at anticodon wobble nucleotide of mitochondrial tRNAsLeu(UUR) with pathogenic mutations of mitochondrial myopathy, encephalopathy, lactic acidosis, and stroke-like episodes. J Biol Chem 2000; 275(6): 4251–4257

[12]

Tetsuka S , Ogawa T , Hashimoto R , Kato H . Clinical features, pathogenesis, and management of stroke-like episodes due to MELAS. Metab Brain Dis 2021; 36(8): 2181–2193

[13]

Kielty K , Collyer J , Ganesh KD , Narayanan S , Rajan DS . Spectrum of clinical neuroimaging in mitochondrial disorders: a neuroanatomical approach. Pediatr Radiol 2025; 55(7): 1350–1365

[14]

Esterhuizen K , Lindeque JZ , Mason S , van der Westhuizen FH , Rodenburg RJ , de Laat P , Smeitink JAM , Janssen MCH , Louw R . One mutation, three phenotypes: novel metabolic insights on MELAS, MIDD and myopathy caused by the m.3243A>G mutation. Metabolomics 2021; 17(1): 10

[15]

de Wit HM , Westeneng HJ , van Engelen BG , Mudde AH . MIDD or MELAS: that’s not the question MIDD evolving into MELAS: a severe phenotype of the m.3243A>G mutation due to paternal co-inheritance of type 2 diabetes and a high heteroplasmy level. Neth J Med 2012; 70(10): 460–462

[16]

Abadie JM . A two-genome portrayal of mitochondrial disorders: a review with clinical presentations. Front Biosci (Schol Ed) 2024; 16(1): 7

RIGHTS & PERMISSIONS

Higher Education Press

AI Summary AI Mindmap
PDF (968KB)

Supplementary files

Supplementary Materials

851

Accesses

0

Citation

Detail

Sections
Recommended

AI思维导图

/