A rare case of fulminant myocarditis complicated with thrombotic aorta occlusion and multiple thrombosis: a case report

Zongzhe Li , Hua Yan , Yan Wang , Chang Xu , Lei Liu , Hong Wang , Dao Wen Wang

Front. Med. ›› 2025, Vol. 19 ›› Issue (6) : 1295 -1301.

PDF (1827KB)
Front. Med. ›› 2025, Vol. 19 ›› Issue (6) :1295 -1301. DOI: 10.1007/s11684-025-1171-1
CASE REPORT

A rare case of fulminant myocarditis complicated with thrombotic aorta occlusion and multiple thrombosis: a case report

Author information +
History +
PDF (1827KB)

Abstract

Fulminant myocarditis (FM) is an acute inflammatory condition that results in a rapidly progressive, life-threatening circulatory failure and cardiogenic shock. This condition is characterized by severe endotheliitis and concurrent cytokine storm, which give rise to a wide spectrum of clinical manifestations and complications, including thromboembolism, myositis, and arrhythmia. Herein, we report an extremely rare case involving a 48-year-old woman diagnosed with FM associated with influenza virus type A, presenting with abdominal aortic occlusion due to acute thrombosis. Echocardiography revealed a significant reduction in global cardiac function (left ventricular ejection fraction, 26%), accompanied by left ventricular mural thrombosis. Enhanced computed tomography (CT) and angiography revealed an in situ aortic thrombosis affecting the infrarenal abdominal aorta and branches of the superior mesenteric artery, bilateral common iliac arteries, and internal and external iliac arteries. The patient was provided with a comprehensive treatment involving anticoagulants (enoxaparin, tirofiban), immunomodulatory agents (methylprednisolone, immunoglobulin), antiviral agent (oseltamivir), and intra-aortic thrombus aspiration via the right femoral artery. After undergoing these treatments for 19 days, her cardiac function returned to normal and subsequent CT images showed a dramatic reduction in aortic thrombosis. Moreover, full recovery of blood flow and movement function of the bilateral lower extremities was observed.

Keywords

fulminant myocarditis / influenza virus type A / aortic thrombosis / abdominal aortic occlusion / anticoagulation therapy / thrombus aspiration

Cite this article

Download citation ▾
Zongzhe Li, Hua Yan, Yan Wang, Chang Xu, Lei Liu, Hong Wang, Dao Wen Wang. A rare case of fulminant myocarditis complicated with thrombotic aorta occlusion and multiple thrombosis: a case report. Front. Med., 2025, 19(6): 1295-1301 DOI:10.1007/s11684-025-1171-1

登录浏览全文

4963

注册一个新账户 忘记密码

1 Introduction

Fulminant myocarditis (FM) is a rare yet fatal cardiac inflammatory disease, with mortality rates reaching as high as 50%–70% [13]. The etiology of FM can be categorized into three classes: infection (with viruses being the most common pathogens), autoimmune diseases, and toxic drugs [4,5]. Pathogen invasion induces the over-activation of the innate immune response, subsequently resulting in an “inflammatory storm”, which plays a pivotal role in the pathophysiology [6]. The heterogeneity of clinical presentations and the rapid disease progression pose significant challenges for the diagnosis and treatment of FM [2,4]. FM can manifest in various ways, ranging from mild symptoms (such as fatigue, chest pain, and palpitations), to life-threatening conditions (such as cardiogenic shock and malignant arrhythmia) [7,8]. Moreover, in addition to cardiac involvement, FM can lead to complications beyond the heart, including thromboses, fulminant type 1 diabetes mellitus, acute pancreatitis, myositis, and arrhythmia, primarily attributed to severe endotheliitis and the associated cytokine storm [911]. Reported thrombotic events associated with FM include deep vein thrombosis (DVT), pulmonary thromboembolism (PE), acute coronary artery thrombosis, stroke, peripheral arterial thrombosis, and splanchnic thrombosis, though most cases are relatively mild [2,4,10]. Here, we report a rare case of FM complicated by abdominal aortic occlusion and multiple thrombotic events due to acute in situ aortic thrombosis in a patient infected with influenza virus type A.

2 Presentation of case

A 48-year-old woman, with a history of flu (fever 39 °C with rhinorrhea for one day) a week prior, presented to the local hospital with complaints of dyspnea on exertion, fatigue, cough, abdominal pain, severe bilateral pedal edema and discoloration, all of which manifested one day prior to admission. On physical examination, the patient exhibited signs of cardiogenic shock, including blood pressure of 89/50 mmHg, heart rate of 135 beats per minute, respiratory rate of 30 breaths per minute, and oxygen saturation of 85%. Moreover, the patient displayed confusion, moist rales in both lungs, markedly decreased heart sounds, tachycardia, bilateral pedal edema, cold peripheries, and absence of palpable pulses in the bilateral dorsal pedal and femoral arteries. Laboratory test was positive for influenza virus type A immunoglobulin (Ig) M antibody. No other pathogens were identified in the panel, blood culture, or urine culture (Table S1). Further laboratory blood tests revealed elevated levels of several biomarkers, including high-sensitivity cardiac troponin I (hs-cTnI) (38 290 pg/mL), NT-proBNP (> 35 000 pg/mL), creatine kinase (CK) (> 20 000 U/L), white blood cells (29.11 × 109/L) (indicating leukocytosis), platelet count (489 × 109/L) (indicating thrombocytosis); and evidence of a cytokine storm (interleukin (IL)-6 at 521.6 pg/mL, tumor necrosis factor (TNF)-α at 19.7 pg/mL) (Table 1).

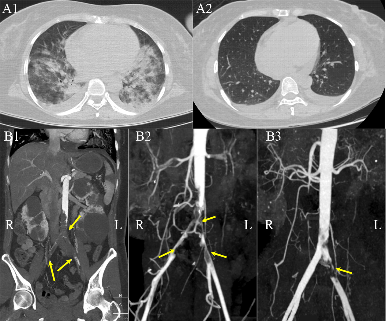
The 12-lead electrocardiogram (ECG) and cardiac monitoring revealed sinus tachycardia accompanied by anterolateral and inferior ST-segment elevation (Fig. S1). Echocardiography indicated left ventricular end-diastolic diameter of 47 mm, left atrial diameter of 35 mm, left ventricular ejection fraction (LVEF) of 26%, significantly reduced regional ventricular wall motion (the inferior, anterior, and lateral walls of the left ventricle extending to the apex), a small amount of pericardial effusion, and left ventricular mural thrombosis. The enhanced computed tomography (CT) and angiography of the head, chest, abdomen, pelvis, and lower limbs yielded several findings. First, acute scattered lacunar cerebral infarctions were identified in the right basal ganglia, left temporal lobe, and bilateral frontoparietal lobes. Second, there was evidence of pulmonary edema with bilateral pleural effusions and superadded chest infection (Fig. 1A1). While no significant stenosis was observed in the coronary arteries, a widespread striated hypodense subendocardial myocardial shadow suggestive of left ventricular mural thrombosis was noted. Notably, complete aortic occlusion was observed, due to aortic thrombosis affecting the infrarenal abdominal aorta and branches of the superior mesenteric artery, bilateral common iliac arteries, and the internal and external iliac arteries (Fig. 1B1, arrow). The patient also exhibited multiple infarctions in the spleen, polycystic kidney, and polycystic liver (Fig. S2). Based on these findings, the preliminary diagnosis for the patient was influenza virus type A-related FM with abdominal aortic occlusion due to in situ acute thrombosis and peripheral nerve damage.

The patient immediately received intravenous infusion of deslanoside and furosemide, followed by full doses of enoxaparin and tirofiban, as well as immunomodulatory therapy involving 400 mg of methylprednisolone and 20 g of intravenous immunoglobulin per day, diuretics (furosemide and spirolactone), and antiviral treatment with oseltamivir at a dose of 75 mg twice daily (Fig. 2). The patient was also placed on ventilation using a BiPAP noninvasive ventilator, and within one day, was transitioned to oxygenation through a nasal cannula. Of note, at the time of the patient’s initial admission, mechanical circulatory support options, such as intra-aortic balloon pump (IABP) and extracorporeal membrane oxygenation (ECMO), were not considered due to the presence of bilateral femoral and abdominal aortic thrombosis.

Following two days of treatment, the patient experienced a marked improvement in her condition. She regained complete consciousness, ability to elevate both legs independently, and had no sensations of chest tightness or shortness of breath. However, the patient complained of severe pain in both lower limbs, which was alleviated with fentanyl for analgesia. Her blood pressure also improved, reaching 100/70 mmHg. Moreover, the previously noted lung rales significantly reduced, leading to weaning off of the respirator. After five days, the patient reported significant alleviation of pain and abnormal sensation in both feet. Her vital signs returned to normal. Physical examination revealed the absence of moist rales in both lungs, improved heart sounds, and a heart rate of 80–90 beats per minute. Additionally, her bilateral foot-drop condition was alleviated, the skin temperature in both lower limbs normalized, and bilateral dorsal pedal pulses were palpable. Subsequent CT scans indicated positive developments including a partially patent aorta and restored blood flow in the bilateral iliac and femoral arteries (day 4) (Fig. 1B2, arrows). To further minimize aortic thrombosis, intra-aortic recombinant tissue plasminogen activator (rt-PA) injection, and subsequent thrombus aspiration via the right femoral artery approach were performed (day 6). As a result, the patient’s lower extremity pain was significantly relieved, and her serum CK levels decreased to 12 797 U/L. On day 7, a significant improvement in lung infection and pulmonary edema was observed (Fig. 1A2). A follow-up CT suggested that the patient's aorta and right iliac artery were essentially well-filled, while the left iliac artery still exhibited a filling defect due to residual thrombus (day 11) (Fig. 1B3, arrow). Concurrently, biomarkers such as CK, hs-cTnI, NT-proBNP, and plasma cytokines all showed significant decrease (Fig. 3). Repeat abdominal CT (day 14) suggested a right rectus abdominis hematoma (58 mm× 31 mm × 128 mm) (Fig. S3). Consequently, anticoagulation therapy was shifted to rivaroxaban at a dose of 15 mg twice per day (Fig. 2). After 19 d of comprehensive treatment, the patient’s FM and cardiac function improved significantly, with LVEF reaching 50%, leading to her discharge from the hospital (Fig. 3).

To validate our diagnosis and guide subsequent treatment, an endomyocardial biopsy was performed on day 15 of the patient’s admission when her condition had considerably improved. Pathological assessments, including hematoxylin and eosin (HE) staining, revealed infiltrations of numerous inflammatory cells, myocardial interstitial edema, and vacuolar degeneration in many cardiomyocytes. Furthermore, immunohistochemistry staining for immune cells showed an abundance of monocytes/macrophages with strong CD68 and CD163 staining, as well as neutrophils exhibiting myeloperoxidase (MPO) staining. However, a limited number of T-lymphocytes with very faint CD4 and CD8 staining were detected (Fig. 4). These pathological findings not only confirm the diagnosis of FM, but also suggest that infiltration and activation of innate immune cells predominates in this case, which is consistent with our previous study [6]. Additionally, an electromyogram indicated peripheral nerve damage in the lower extremities, affecting both the tibial and peroneal nerves bilaterally.

At the 1-month follow-up after the patient’s discharge from the hospital, laboratory examinations demonstrated normal levels of hs-cTnI, soluble ST2, high-sensitivity C-reactive protein, glutamic-pyruvic transaminase, glutamic oxalacetic transaminase, and serum creatinine, while NT-proBNP and cytokine levels showed significant decrease (Fig. 3).

3 Discussion

We report an extremely rare case of FM accompanied with cardiogenic shock and complicated with a severe “thrombotic storm” triggered by an “inflammatory storm”, which was caused by influenza virus type A infection. This thrombotic storm included acute scattered lacunar cerebral infarctions, multiple infarctions in the spleen, left ventricular mural thrombosis, and an acute in situ thromboembolic aortic occlusion in the infrarenal abdominal aorta and branches of the superior mesenteric artery, bilateral common iliac arteries, and the internal and external iliac arteries. Additionally, the patient was diagnosed with diffuse lung infection, polycystic liver, polycystic kidney, and peripheral nerve damage. An electromyogram revealed peripheral nerve damage in the lower extremities involving bilateral tibial and peroneal nerves. We hypothesized that the peripheral nerve damage may have been associated with prolonged ischemia in the cauda equina.

FM typically presents with significant elevations in levels of various biomarkers, including hs-cTnI, NT-proBNP, soluble ST2, high-sensitivity C-reactive protein, white blood cells (leukocytosis), and cytokines. Moreover, abnormal ECG and echocardiography results are commonly observed in FM, along with the main diagnostic criteria [1,4]. Viral infections are notably the predominant cause of FM. However, detecting the virus is challenging in most patients with FM [4]. Viruses typically play an initiating role in the pathogenesis of FM, with the subsequent primary pathogenic mechanism being the severe “inflammatory storm” triggered by the activation of innate immunity [4,6]. In the case of our patient, her history of influenza and the pathogenetic findings, particularly the positive result for influenza virus type A IgM antibody, clarified the etiology of FM (Table S1).

The emergence of “thrombotic storm”, a critical and life-threatening symptom in this case, can be attributed to the underlying mechanism of “inflammatory storm” induced by the viral infection, based on a monistic approach. It is not uncommon for influenza to trigger thrombosis [12]; however, arterial thrombosis is a rare occurrence [13]. Nonetheless, a systemic literature screening yielded two reported cases showing definite association between influenza A and aortic thrombosis [13,14]. Bunce et al. reported the case of a 50-year-old woman with confirmed H1N1 influenza who suffered from infrarenal aorta thrombosis and DVT. She survived but with sequelae (left-sided above-the-knee amputation) [14]. Huzmelirtic et al. reported the case of a 28-year-old male with a medical history of heart failure and a pacemaker, who was confirmed to have H1N1 influenza and subsequently developed infrarenal aortic thrombosis. He died after 17 days of treatment [13]. Notably, in both cases, the patients did not exhibit concomitant FM, and arterial thrombosis was primarily confined to the aorta, significantly differing from the presentation of our patient. To the best of our knowledge, no prior reports of FM have described a patient who displayed “thrombotic storm” with such multifocal and severe manifestation as observed in our patient.

The reported thrombotic events in FM have predominantly been venous, such as pulmonary embolism and DVT [2,10]. Arterial thrombotic events in FM has rarely been reported, and are mostly coronary thrombotic events due to atherosclerotic plaque rupture or aortic thrombosis secondary to mechanical circulatory support or heart surgery [10,15,16]. The specific etiologies of aortic thrombosis are complex, as they can originate from tumors, aortitis, blood disorders (such as protein C deficiency, protein S deficiency, or anti-phospholipid antibody syndrome), aortic aneurysms, intra-aortic atheroma, hormone therapy, steroid use, and atrial fibrillation [1619].

To further explore the etiology of thrombotic events, we performed a histological examination of the aortic thrombus. The findings indicated fibrinoid thrombosis with multiple inflammatory cell aggregations and abscess formation (T lymphocyte: CD3+, CD4+, CD8+; B lymphocyte: CD19+; neutrophil: MPO+; monocytes/macrophages: CD68+, CD163+), with some areas of organization and mucus-like degeneration observed (Fig. 5). This result robustly supported our hypothesis that “inflammatory storm” leads to “thrombotic storm.”

Other possible etiologies of “thrombotic storm,” including hereditary thrombophilia, tumors, rheumatoid diseases, and myeloproliferative diseases, were also investigated. A differential diagnosis for the cause of thrombosis was also performed using tumor marker panel (Table S2), a rheumatology panel (Table S3), tests for thrombophilia (protein C and protein S), and screening for hematologic disorders (morphological detection of peripheral blood cells, Sanger sequencing for myeloproliferative neoplasms related mutations, and BCR-ABL multiple fusion gene detection) (Table S4), which all returned negative in our patient. We also performed whole-exome sequencing (WES) to discover the potential hereditary etiologies of the patient. The WES revealed a pathogenic stop-gained PKD1 variant responsible for polycystic kidney disease (c.12682C>T, p.Arg4228Ter). However, no pathogenic or likely pathogenic variant related to thrombophilia was identified. This suggests that viral infection, leading to “inflammatory storm,” was the most likely etiology of the extremely rare but life-threatening complications.

After a thorough review of previous reports, three major treatment modalities for the management of aortic thrombosis were found: conservative management with thrombolysis or antithrombotic agents, endovascular intervention, and surgery [19]. However, guidelines to evaluate these treatment options are lacking, due to the limited number of reported cases [19]. In comparison to the two previously reported patients with aortic thrombosis [13,14], our patient presented with a more severe condition and experienced more effective treatment. Early initiation of immunomodulation (i.e., immunoglobulin therapy) and adequate glucocorticoid therapies are the key to the rapid improvement in our patient’s condition. Immunoglobulin therapy played a pivotal role in markedly suppressing myocarditis because of its Fc receptor-mediated anti-inflammatory action and its ability to inhibit the initial antigen-priming process [20].

In conclusion, we encountered a rare case involving influenza virus type A infection, accompanied by FM and a “thrombotic storm”. To our knowledge, this is the first report of FM complicated by abdominal aortic occlusion due to acute in situ thrombosis. Our report enriches the clinical spectrums of FM.

4 Limitations

Because this case is so rare, there is a lack of samples to validate the effectiveness of our treatment protocol. It is unknown whether a better prognosis would have been achieved with earlier treatment with thrombolysis.

References

[1]

Wang D , Li S , Jiang J , Yan J , Zhao C , Wang Y , Ma Y , Zeng H , Guo X , Wang H , Tang J , Zuo H , Lin L , Cui G . Chinese society of cardiology expert consensus statement on the diagnosis and treatment of adult fulminant myocarditis. Sci China Life Sci 2019; 62(2): 187–202

[2]

Caforio AL , Pankuweit S , Arbustini E , Basso C , Gimeno-Blanes J , Felix SB , Fu M , Heliö T , Heymans S , Jahns R , Klingel K , Linhart A , Maisch B , McKenna W , Mogensen J , Pinto YM , Ristic A , Schultheiss HP , Seggewiss H , Tavazzi L , Thiene G , Yilmaz A , Charron P , Elliott PM; European Society of Cardiology Working Group on Myocardial , Pericardial Diseases . Current state of knowledge on aetiology, diagnosis, management, and therapy of myocarditis: a position statement of the European Society of Cardiology Working Group on Myocardial and Pericardial Diseases. Eur Heart J 2013; 34(33): 2636–2648

[3]

McCarthy RE 3rd , Boehmer JP , Hruban RH , Hutchins GM , Kasper EK , Hare JM , Baughman KL . Long-term outcome of fulminant myocarditis as compared with acute (nonfulminant) myocarditis. N Engl J Med 2000; 342(10): 690–695

[4]

Hang W , Chen C , Seubert JM , Wang DW . Fulminant myocarditis: a comprehensive review from etiology to treatments and outcomes. Signal Transduct Target Ther 2020; 5(1): 287

[5]

Veronese G , Ammirati E , Chen C , Klingel K , Suzuki M , Okumura T , Maisch B , Zuo H , Ni L , Jiang J , Zhang J , Wang H , Zhou N , Tschope C , Cooper LT , Wang DW . Management perspectives from the 2019 Wuhan international workshop on fulminant myocarditis. Int J Cardiol 2021; 324: 131–138

[6]

Li H , Zhang M , Zhao Q , Zhao W , Zhuang Y , Wang J , Hang W , Wen Z , Wang L , Chen C , Wang DW . Self-recruited neutrophils trigger over-activated innate immune response and phenotypic change of cardiomyocytes in fulminant viral myocarditis. Cell Discov 2023; 9(1): 103

[7]

Ammirati E , Veronese G , Brambatti M , Merlo M , Cipriani M , Potena L , Sormani P , Aoki T , Sugimura K , Sawamura A , Okumura T , Pinney S , Hong K , Shah P , Braun Ö , Van de Heyning CM , Montero S , Petrella D , Huang F , Schmidt M , Raineri C , Lala A , Varrenti M , Foà A , Leone O , Gentile P , Artico J , Agostini V , Patel R , Garascia A , Van Craenenbroeck EM , Hirose K , Isotani A , Murohara T , Arita Y , Sionis A , Fabris E , Hashem S , Garcia-Hernando V , Oliva F , Greenberg B , Shimokawa H , Sinagra G , Adler ED , Frigerio M , Camici PG . Fulminant versus acute nonfulminant myocarditis in patients with left ventricular systolic dysfunction. J Am Coll Cardiol 2019; 74(3): 299–311

[8]

Ammirati E , Cipriani M , Lilliu M , Sormani P , Varrenti M , Raineri C , Petrella D , Garascia A , Pedrotti P , Roghi A , Bonacina E , Moreo A , Bottiroli M , Gagliardone MP , Mondino M , Ghio S , Totaro R , Turazza FM , Russo CF , Oliva F , Camici PG , Frigerio M . Survival and left ventricular function changes in fulminant versus nonfulminant acute myocarditis. Circulation 2017; 136(6): 529–545

[9]

Yukiiri K , Mizushige K , Ueda T , Nanba T , Tanimoto K , Wada Y , Takagi Y , Ohmori K , Kohno M . Fulminant myocarditis in polymyositis. Jpn Circ J 2001; 65(11): 991–993

[10]

Petrov A , De Glee Romera JP , Wilbring M , Alexiou K , Kappert U , Matschke KE , Tugtekin SM . Aortic thrombosis following COVID-19: a systematic review. Thorac Cardiovasc Surg 2022; 70(4): 323–332

[11]

Egashira F , Kawashima M , Morikawa A , Kosuda M , Ishihara H , Watanabe K . A rare case of fulminant type 1 diabetes mellitus accompanied by both acute pancreatitis and myocarditis—case report. BMC Endocr Disord 2020; 20(1): 127

[12]

Zerangian N , Erabi G , Poudineh M , Monajjem K , Diyanati M , Khanlari M , Khalaji A , Allafi D , Faridzadeh A , Amali A , Alizadeh N , Salimi Y , Ghane Ezabadi S , Abdi A , Hasanabadi Z , ShojaeiBaghini M , Deravi N . Venous thromboembolism in viral diseases: a comprehensive literature review. Health Sci Rep 2023; 6(2): e1085

[13]

Hüzmeli C , Saglam M , Arikan A , Doner B , Akinci G , Candan F . Infrarenal aorta thrombosis associated with H1N1 influenza A virus infection. Case Rep Infect Dis 2016; 2016: 9567495

[14]

Bunce PE , High SM , Nadjafi M , Stanley K , Liles WC , Christian MD . Pandemic H1N1 influenza infection and vascular thrombosis. Clin Infect Dis 2011; 52(2): e14–e17

[15]

Refinetti P , Legay L , Fontaine JP , Peyrony O . Abdominal aortic occlusion due to acute thrombosis. Intern Emerg Med 2019; 14(6): 1003–1004

[16]

Basile C , Mancusi C , Gargiulo P , Perrone Filardi P , Perrino C , Canciello G , Losi MA , Esposito G . Aortic thrombosis: the forgotten source of ischemic stroke. A case report and systematic review of the literature. Monaldi Arch Chest Dis 2021; 92(3):

[17]

Sachdev S , Bardia N , Nguyen L , Omar B . Bioprosthetic valve thrombosis. Cardiol Res 2018; 9(6): 335–342

[18]

Gueldich M , Piscitelli M , Derbel H , Boughanmi K , Bergoend E , Chanai N , Folliguet T , Fiore A . Floating thrombus in the ascending aorta revealed by peripheral arterial embolism. Interact Cardiovasc Thorac Surg 2020; 30(5): 762–764

[19]

Nguyen Q , Ma X , Vervoort D , Luc JGY . Management strategies for descending thoracic aortic thrombus: a review of the literature. Innovations (Phila) 2022; 17(4): 283–296

[20]

Shioji K , Kishimoto C , Sasayama S . Fc receptor-mediated inhibitory effect of immunoglobulin therapy on autoimmune giant cell myocarditis: concomitant suppression of the expression of dendritic cells. Circ Res 2001; 89(6): 540–546

RIGHTS & PERMISSIONS

Higher Education Press

AI Summary AI Mindmap
PDF (1827KB)

Supplementary files

Supplementary materials

785

Accesses

0

Citation

Detail

Sections
Recommended

AI思维导图

/