2022-09-15 2022, Volume 10 Issue 3
  • Cover illustration

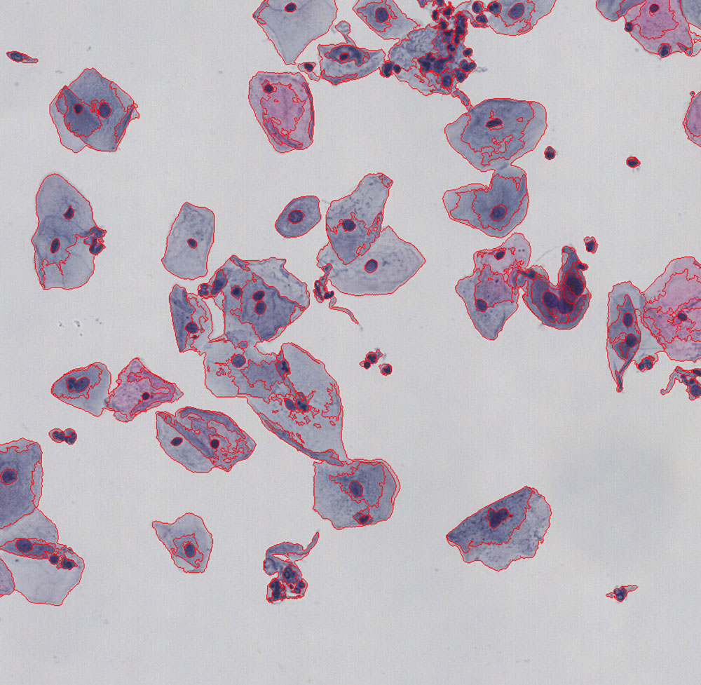
    Superpixel segmentation, an image over-segment technique, can provide boundary-priors for medical image applications to reduce annotation costs and improve segmentation accuracy. Traditionally, size uniformity is one of the significant features of superpixels. However, in medical images, where objects’ scale varies greatly and background regions are often flat, size uniformity rarely conforms to the varying content. To free users from the predicament of setting a suitable superpixel size for a given application, we propose a scale-adaptive superpixel algorithm for [Detail] ...


  • Select all
  • PROFILE
    Lirong Zhang , Junjie Liu
  • EDITORIAL
    Yong-Jin Liu , Xiu-Jie Wang
  • REVIEW
    Nobuko Ohmido , Astari Dwiranti , Seiji Kato , Kiichi Fukui

    Background: The use of image analysis to understand the structure of chromosome and chromatin is critical to the study of genetic evolution and diversification. Furthermore, a detailed chromosome map and the structure of chromatin in the nucleus may contribute to the plant breeding and the study of fundamental biology and genetics in organisms.

    Results: In plants with a fully annotated genome project, such as the Leguminosae species, the integration of genetic information, including DNA sequence data, a linkage map, and the cytological quantitative chromosome map could further improve their genetic value. The numerical parameters of chromocenters in 3D can provide useful genetic information for phylogenetic studies of plant diversity and heterochromatic markers whose epigenetic changes may explain the developmental and environmental changes in the plant genome. Extended DNA fibers combined with fluorescence in situ hybridization revealed the highest spatial resolution of the obtained genome structure. Moreover, image analysis at the nano-scale level using a helium ion microscope revealed the surface structure of chromatin, which consists of chromatin fibers compacted into plant chromosomes.

    Conclusions: The studies described in this review sought to measure and evaluate chromosome and chromatin using the image analysis method, which may reduce measurement time and improve resolution. Further, we discussed the development of an effective image analysis to evaluate the structure of chromosome and chromatin. An effective application study of cell biology and the genetics of plants using image analysis methods is expected to be a major propeller in the development of new applications.

  • RESEARCH ARTICLE
    Ran Yi , Rui Zeng , Yang Weng , Minjing Yu , Yu-Kun Lai , Yong-Jin Liu

    Background: Image-based automatic diagnosis of field diseases can help increase crop yields and is of great importance. However, crop lesion regions tend to be scattered and of varying sizes, this along with substantial intra-class variation and small inter-class variation makes segmentation difficult.

    Methods: We propose a novel end-to-end system that only requires weak supervision of image-level labels for lesion region segmentation. First, a two-branch network is designed for joint disease classification and seed region generation. The generated seed regions are then used as input to the next segmentation stage where we design to use an encoder-decoder network. Different from previous works that use an encoder in the segmentation network, the encoder-decoder network is critical for our system to successfully segment images with small and scattered regions, which is the major challenge in image-based diagnosis of field diseases. We further propose a novel weakly supervised training strategy for the encoder-decoder semantic segmentation network, making use of the extracted seed regions.

    Results: Experimental results show that our system achieves better lesion region segmentation results than state of the arts. In addition to crop images, our method is also applicable to general scattered object segmentation. We demonstrate this by extending our framework to work on the PASCAL VOC dataset, which achieves comparable performance with the state-of-the-art DSRG (deep seeded region growing) method.

    Conclusion: Our method not only outperforms state-of-the-art semantic segmentation methods by a large margin for the lesion segmentation task, but also shows its capability to perform well on more general tasks.

  • RESEARCH ARTICLE
    Xiaokang Chai , Yachao Di , Zhao Feng , Yue Guan , Guoqing Zhang , Anan Li , Qingming Luo

    Background: Images of anatomical regions and neuron type distribution, as well as their related literature are valuable assets for neuroscience research. They are vital evidence and vehicles in discovering new phenomena and knowledge refinement through image and text big data. The knowledge acquired from image data generally echoes with the literature accumulated over the years. The knowledge within the literature can provide a comprehensive context for a deeper understanding of the image data. However, it is quite a challenge to manually identify the related literature and summarize the neuroscience knowledge in the large-scale corpus. Thus, neuroscientists are in dire need of an automated method to extract neuroscience knowledge from large-scale literature.

    Methods: A proposed deep learning model named BioBERT-CRF extracts brain region entities from the WhiteText dataset. This model takes advantage of BioBERT and CRF to predict entity labels while training.

    Results: The proposed deep learning model demonstrated comparable performance against or even outperforms the previous models on the WhiteText dataset. The BioBERT-CRF model has achieved the best average precision, recall, and F1 score of 81.3%, 84.0%, and 82.6%, respectively. We used the BioBERT-CRF model to predict brain region entities in a large-scale PubMed abstract dataset and used a rule-based method to normalize all brain region entities to three neuroscience dictionaries.

    Conclusions: Our work shows that the BioBERT-CRF model can be well-suited for brain region entity extraction. The rankings of different brain region entities by their appearance in the large-scale corpus indicate the anatomical regions that researchers are most concerned about.

  • RESEARCH ARTICLE
    Limin Sun , Dongyang Ma , Yuanfeng Zhou

    Background: Superpixel segmentation is a powerful preprocessing tool to reduce the complexity of image processing. Traditionally, size uniformity is one of the significant features of superpixels. However, in medical images, in which subjects scale varies greatly and background areas are often flat, size uniformity rarely conforms to the varying content. To obtain the fewest superpixels with retaining important details, the size of superpixel should be chosen carefully.

    Methods: We propose a scale-adaptive superpixel algorithm relaxing the size-uniformity criterion for medical images, especially pathological images. A new path-based distance measure and superpixel region growing schema allow our algorithm to generate superpixels with different scales according to the complexity of image content, that is smaller (larger) superpixels in color-riching areas (flat areas).

    Results: The proposed superpixel algorithm can generate superpixels with boundary adherence, insensitive to noise, and with extremely big sizes and extremely small sizes on one image. The number of superpixels is much smaller than size-uniformly superpixel algorithms while retaining more details of images.

    Conclusion: With the proposed algorithm, the choice of superpixel size is automatic, which frees the user from the predicament of setting suitable superpixel size for a given application. The results on the nuclear dataset show that the proposed superpixel algorithm superior to the respective state-of-the-art algorithms on both quantitative and quantitative comparisons.

  • RESEARCH ARTICLE
    Aihua Mao , Zihui Du , Dayu Lu , Jie Luo

    Background: Physiological signal-based research has been a hot topic in affective computing. Previous works mainly focus on some strong, short-lived emotions (e.g., joy, anger), while the attention, which is a weak and long-lasting emotion, receives less attraction. In this paper, we present a study of attention recognition based on electrocardiogram (ECG) signals, which contain a wealth of information related to emotions.

    Methods: The ECG dataset is derived from 10 subjects and specialized for attention detection. To relieve the impact of noise of baseline wondering and power-line interference, we apply wavelet threshold denoising as preprocessing and extract rich features by pan-tompkins and wavelet decomposition algorithms. To improve the generalized ability, we tested the performance of a variety of combinations of different feature selection algorithms and classifiers.

    Results: Experiments show that the combination of generic algorithm and random forest achieve the highest correct classification rate (CCR) of 86.3%.

    Conclusion: This study indicates the feasibility and bright future of ECG-based attention research.

  • RESEARCH ARTICLE
    Qiuxuan Liu , Degang Wu , Chaolong Wang

    Background: Inference of population structure is crucial for studies of human evolutionary history and genome-wide association studies. While several genomic regions have been reported to distort population structure analysis of European populations, no systematic analysis has been performed on non-European continental groups and with the latest human genome assembly.

    Methods: Using the 1000 Genomes Project high coverage whole-genome sequencing data from four major continental groups (Europe, East Asia, South Asia, and Africa), we developed a statistical framework and systematically detected genomic regions with unusual contributions to the inference of population structure for each of the continental groups.

    Results: We identified and characterized 27 unusual genomic regions mapped to GRCh38, including 13 regions around centromeres, 2 with chromosomal inversions, 8 under natural selection, and 4 with unknown causes. Excluding these regions would result in a more interpretable population structure inferred by principal components analysis and ADMIXTURE analysis.

    Conclusions: Unusual genomic patterns in certain regions can distort the inference of population structure. Our compiled list of these unusual regions will be useful for many population-genetic studies, including those from non-European populations. Availability: The code to reproduce our results is available at the website of Github (/dwuab/UnRegFinder).

  • COMMENTARY
    Chenwei Li , Zedao Liu , Zemin Zhang