2021-10-31 2021, Volume 7 Issue 5

  • Select all
  • research-article
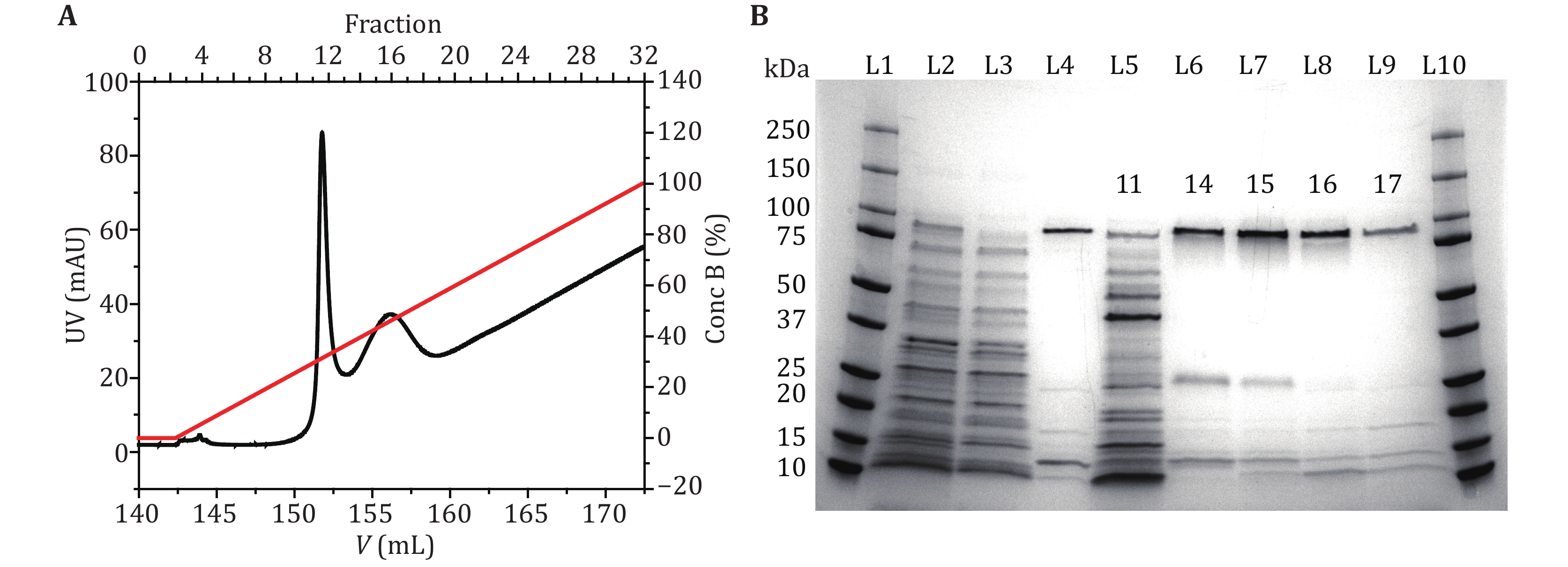
    Yuqin Wang, Pingping Fan, Shanyu Zhang, Shuanghong Yan, Shuo Huang

    Mycobacterium smegmatis porin A (MspA), possessing a short (~0.6 nm) and narrow (~1.2 nm) constriction that enables its high spatial resolution of sensing, has emerged as an optimum choice for nanopore sequencing and nano-reactive sensing. However, prepared MspA nanopores cannot be obtained from any commercial vendors. We here provide a highly simplified protocol for MspA preparation. The protocol yields ~10 mg fully oligomerized protein per liter of culture and is straightforward to follow. With the prepared MspA nanopores, discrimination of immobilized ssDNA oligonucleotides can be performed, which serves as a demo application to demonstrate core procedures of single molecule sensing using MspA. This method is also in principle compatible with all other MspA mutants, which might merit the need to develop a variety of MspA based nano-reactive sensors.

  • research-article
    Lusheng Gu, Wei Ji

    Super-resolution imaging based on single-molecule localization has been developed for more than a decade. These techniques can break through diffraction limit of fluorescent microscopy and initially improve the resolution by an order of magnitude to ~20 nm, by introducing photoactivatable/photoswitching probes and centroid fitting method. As the demand of biological research, the localization precision of single-molecules was further improved by several state-of-the-art methods in the past several years. This review focuses on the latest developed techniques which have greatly improved the performance of single-molecule localization microscopy, from measurement principle to hardware design. These methods are essential for the study of nanostructures and biomacromolecule dynamics inside of cells.

  • research-article

    Complex physical cues including two-dimensional membrane environment, dynamic mechanical force, and bioelectric activity inevitably affect membrane receptor functions. Multiplexed single-molecule force spectroscopy (SMFS) techniques with the capability of live-cell measurements are essential to systemically dissect receptor’s functions under complex biophysical regulation. In this review, we summarize recent progress of live-cell based SMFS techniques and specifically focus on the progress of SMFS on the biomembrane force probe with enhanced mechanical stability and multiplexed capability of fluorescence imaging. We further suggest the necessity of developing multiplexed SMFS techniques with simultaneous bioelectric regulation capability to investigate membrane potential regulated membrane receptor functions. These state-of-art multiplexed SMFS techniques will dissect membrane receptors functions in a systematic biophysical angle, resolving the biochemical, biomechanical and bioelectrical regulatory mechanisms in physiologically relevant conditions.

  • research-article

    Cell membranes are complicated multicomponent structures, related to many basic cellular processes, such as substance transporting, energy conversion, signal transduction, mechanosensing, cell adhesion and so on. However, cell membranes have long been difficult to study at a single-molecule level due to their complex and dynamic properties. During the last decades, biophysical imaging techniques, such as atomic force microscopy and super-resolution fluorescent microscopy, have been developed to study biological structures with unprecedented resolution, enabling researchers to analyze the composition and distribution of membrane proteins and monitor their specific functions at single cell/molecule level. In this review, we highlight the structure and functions of cell membranes based on up-to-date biophysical techniques. Additionally, we describe the recent advances in force-based detecting technology, which allow insight into dynamic events and quantitativelymonitoring kinetic parameters for trans-membrane transporting in living cells.

  • research-article

    Force spectroscopy experiments use mechanical force as a control factor to regulate the folding and unfolding process of proteins. Atomic force microscopy has been widely used to study the mechanical stability of proteins, and obtained unfolding forces and unfolding distance of different proteins, while recently, more low force folding and unfolding measurements were done by optical tweezers and magnetic tweezers. Due to the relatively small distortion of the free energy landscape, low force measurements give the free energy landscape information over bigger conformational space. In this review, we summarize the results of force spectroscopy experiments on different proteins. The unfolding distance obtained at high forces by atomic force microscopy are mostly smaller than 2 nm, while the unfolding distances at low forces distribute over a larger range: from a negative value to more than 6 nm. The sizes of the transition states at low force are ~4 nm for most compact two-state globular proteins, which indicates that this transition state might be the general free energy barrier separating the unfolded state and the theoretically predicated molten globule state. Up to now, only a limited number of proteins has been studied at low forces. We expect that more and more proteins with different conformations will be studied at low forces to reveal the general protein folding mechanism.

  • research-article

    Intracellular transport is the basis for the transfer of matter, energy, and information in cells and is critical to many cellular functions. Within the nonequilibrium environment of living cells, the transport behaviours are far from the traditional motion in liquid but are more complex and active. With the advantage of high spatial and temporal resolution, the single-particle tracking (SPT) method is widely utilized and has achieved great advances in revealing intracellular transport dynamics. This review describes intracellular transport from a physical perspective and classifies it into two modes: diffusive motion and directed motion. The biological functions and physical mechanisms for these two transport modes are introduced. Next, we review the principle of SPT and its advances in two aspects of intracellular transport. Finally, we discuss the prospect of near infrared SPT in exploring the in vivo intracellular transport dynamics.